Skip to main content

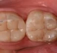
Case-445

Problem: this 14 year old girl with a history of rampant decay was referred to me for esthetic and functional improvement from a specialist. Many fillings were leaking with extensive caries underlying.

Addendum: The patient also desired whiter teeth. Of note, the only “virgin” tooth was her upper right front tooth (upper left when you are looking at her from the front in this view) – we actually did not touch this tooth at all but decided to see if we could match the others to it.

Solution: One happy patient – look at the colors – the old fillings have been made completely invisible with this very conservative technique. I would not recommend porcelain veneers on any patient less than 25 years of age.