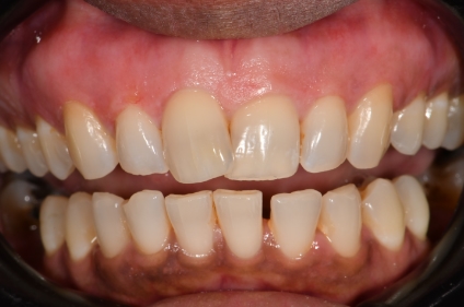
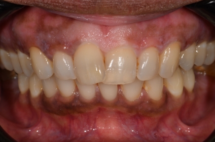
Home/Gallery/Gingival Depigmentation/Patient 1
Gingival depigmentation using a surgicolaser approach to expedite healing. Upper arch done for comparison