Home/Gallery/Orthodontics (Braces)/Patient 3
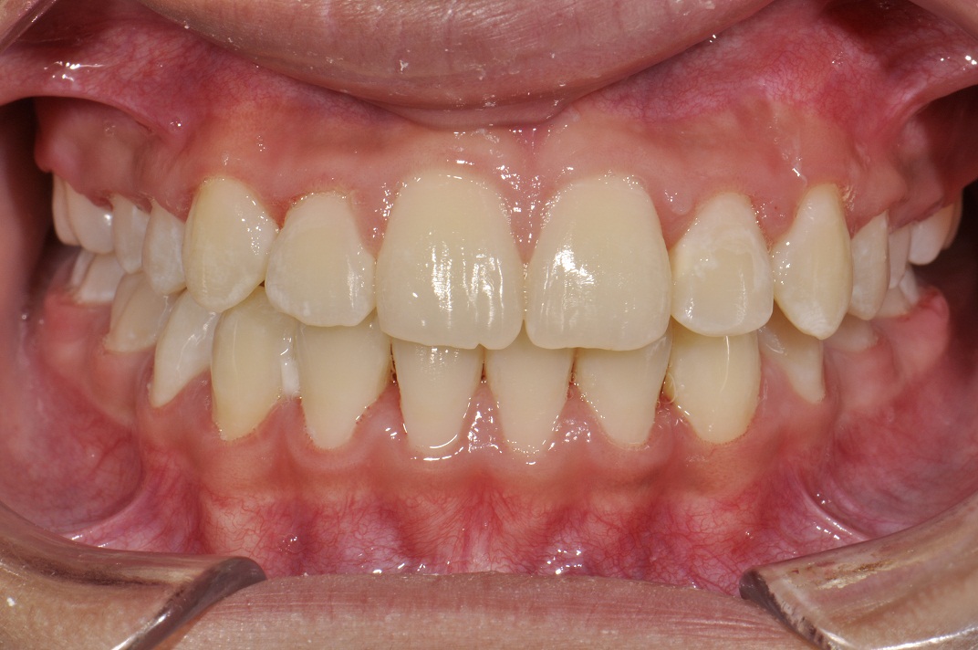
Solution: Result after 1 year of Speed System braces. No extractions needed!
Problem: Posterior crossbite and severe collapse of this 10-year-old patient’s teeth on the right side. His left lateral incisor is in anterior crossbite. He is being teased at school. Family does not have money for orthognathic surgery (recommended) in conjunction with braces.
Solution: 3 years of Speed System braces (Cambridge, Canada) resulted in successful expansion of the patient’s arch and correction of crossbites. Much improved looks, and the patient is so very happy!