Patient 1
Details:
Problem: This patient came to me from Melbourne and really hated her 4 front teeth's colour, alignment and shape. Was not keen on orthodontics or Invisalign.
Solution: 6 bonded porcelain (IPS e-max) veneers completed to seamlessly perfect her smile
Patient 2
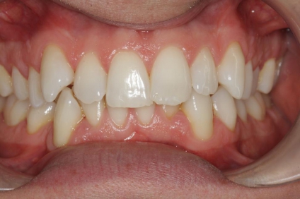
Details:
Before view #2: One can really see her upper lateral incisors are sticking out. Her central incisors (middle teeth) have old composite bonding and the midline is tilted to her left side.
After #2: The 6 porcelain veneers from canine to canine are indistinguishable from her natural teeth.
Patient 3
Details:
Problem: A 30-year-old male did not want braces, but wanted a perfect smile.
Solution: 10 bonded porcelain veneers were used on his 15-25 (upper 10 teeth) to gain this result. Very happy patient.
Patient 4
Details:
Problem: This 35-year-old female wanted to get rid of unsightly chips and spots on her teeth. She also wanted a more even smile.
Solution: after tooth whitening, this patient was fitted with 6 beautiful porcelain veneers to brighten and give balance to her smile. All the chips and spots are gone! One happy patient! =)
Patient 5
Details:
Problem: this attractive 25 year old female presents for definitive porcelain veneers after these unattractive composite veneers were completed in Thailand.
Solution: 6 beautiful porcelain veneers were bonded seamlessly to her teeth after removal of the composite. She is now over the mooooon!
Patient 6
Details:
Had the opportunity to replace “new” veneers done by someone else down country on this 30 year old female as they kept on “popping off”. With Digital Smile Design, we redesigned proportions before executing the case. This is the 1 week reassessment and shows soft tissue still in various stages of healing (she had extremely inflamed gingiva from lack of provisional cleaning).
Subtleties are king. The smallest detail is as important and ever congruent with the most salient detail.
#IPS #emax #TheShinEffect