Skip to main content

WHAT IS DIGITAL SMILE DESIGN (DSD)?

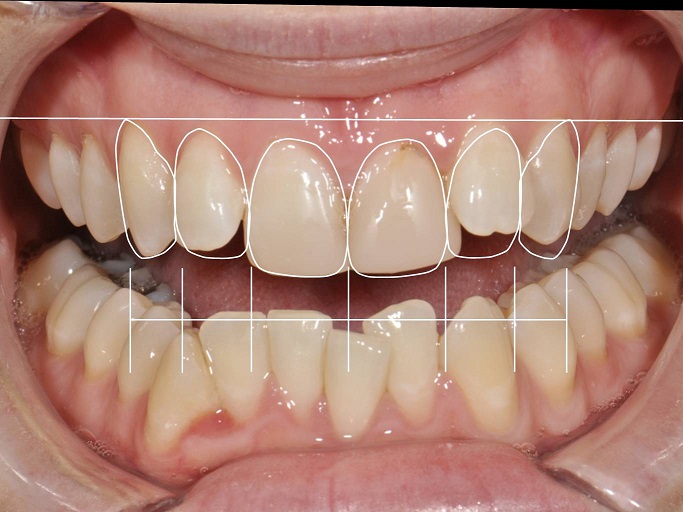
DSD is the use of digital images and computer-based manipulation to demonstrate possible changes to the smile and specifically to the position, size, shape, and colour of the teeth and gums. It is a comprehensive cosmetic dental planning tool that uses digital calibration to known dimensions in the mouth in order to guide the placement of wax during the planning/blueprint or diagnostic wax-up stage. It is then this diagnostic wax-up that is “test-driven” in your mouth before the final smile is delivered.

This is a technique coined and pioneered by Dr. Christian Coachman, DDS, CDT.
Read more here: http://digitalsmiledesign.com
Note: page is in Portuguese, but do look at the photographs!

– Contributed by Cosmetic Dentist Clarence Tam, HBSc, DDS

Dentsply Sirona® Primescan Intraoral Scanner

Primescan® is an advanced intraoral scanner that can digitally scan your teeth and gums for enhanced treatment planning and the creation of accurate, high-quality dental impressions. These digital impressions allow incredible precision in crafting better-fitting restorations, SureSmile® orthodontic aligners, and teeth whitening trays. With advanced artificial intelligence (AI) capabilities, Primescan® sends 3D scans of your teeth to a chairside monitor so you and your cosmetic dentist can view them together and plan enhancements and repairs accordingly. Primescan® can also optimize case planning by streamlining workflow and allowing our team to perform smile trials for digitally-planned treatments. This technology can greatly improve the patient experience by:

  • Eliminating the need for trays and putties
  • Providing an enhanced level of precision in the creation of digital teeth impressions as well as SureSmile® teeth-straightening trays
  • Significantly reducing, or even canceling, the need for impression retakes
  • Simulating potential orthodontic results, as well as the position of your teeth and gums on a chairside monitor

Since patients no longer have to bite down on dental putty to take impressions, Primescan® has the additional benefit of optimal comfort for those who have a sensitive gag reflex. Primescan ® offers greater efficiency in planning your treatment as well as a precise 3D visualisation of your teeth and gums rendered in seconds.