Skip to main content

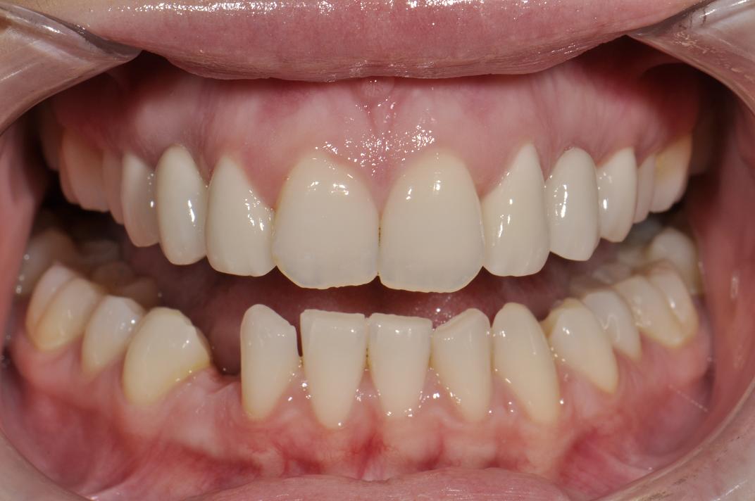
Patient 3

Problem: This nice 25-year-old girl came to see me to correct her smile and in particular her canines

Solution: implants were planned for the future, but in order to get this patient her beautiful smile sooner (her decision), porcelain bridges were placed on both sides from lateral to first premolar. Her central incisors were not touched.