Patient 1
Details:
Problem: discolored old fillings causing the patient some anxiety
Solution: Layered composite restorations used to replace the old fillings. An invisible result!
Patient 2
Details:
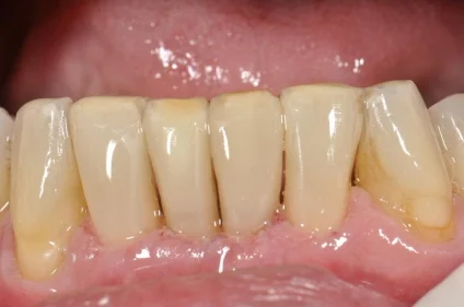
Problem: short, worn-down lower central incisors
Solution: layered composite restoration to lengthen tooth invisibly.
Patient 3
Details:
Problem: Severe brushing/scrubbing damage to lower front teeth in a 65 year old male.
Solution: layered composite restorations added to teeth to create lost contours
Patient 4
Details:
Problem: rampant decay in a 25 year old female patient. Pictures show extent of cavity spread during preparation.
Solution: layered composite restorations using Voco Grandio SO
Patient 5
Details:
Problem: chipped lower left central incisor with marked translucency seen in the tips of the surrounding teeth.
Solution: 5-shade layered composite restoration to restore chipped incisal edge. Very happy patient!