Patient 1
Details:
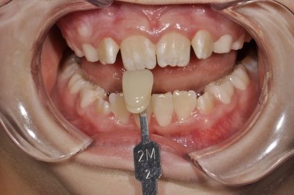
Problem: a 6-year-old boy came to me because his friends were teasing him about how his teeth looked. This was causing him a lot of grief!
Solution: This is the immediate post-operative view, and the gums will heal beautifully. We used layered composite restorations to block out the excessive translucency and give the teeth a more natural appearance. All teasing stopped! =)