Home/Gallery/Posterior Composite Fillings/Patient 13
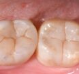
Problem: this nice 28 year old had a large cavity he wanted me to restore mimicking nature
Solution: Using a Smart Dentin Replacement composite and Voco Grandio SO (A2 shade), nature should be smiling at him again =)