Warning: Undefined array key "post_type" in /var/www/vhosts/clarencetam.co.nz/httpdocs/wp-content/plugins/rmgallery2/core/public/rmg_rewrites.php on line 228
2019 | Tam Dental Group - Part 17
Skip to main content

2019

Root Lightening Fillings

(Afternoon tea pics 954.4: GC Essentia U)   This patient had a cervical abrasion lesion that she wanted to protect. Humpday Class V banger completed using #GC #EssentiaU #RootLighteningEffect #Subtleties

Read More

Nicest Feeling Rubber Dam by Ultradent

Had a bit of fun with this caries ambush.  Single shade restoration with #VenusPearl A2 by #Kulzer. The best rubber dam in the world: #Dermadam #Ultradent

Read More

Making Fillings Invisible with Biomimetic Dentistry

(Afternoon tea pics 952.2: Venus Pearl A2 | Garrison Compositight 3D Fusion)   Back to back large Class II caries restored with this outstanding chameleon.   #Venus #Pearl A2 #Cosmedent […]

Read More

New 3s bulk fill composite resin from Ivoclar

#Ivoclar #Powerfil #3sCure #BulkFill

Read More

Ivoclar Powerfil 3 second cure

The new 3 second bulk fill called #Powerfil by #IvoclarVivadent. Reason for retreatment: recurrent caries cervically. Bonding system: #AdheSE Universal Tint system: #Empress Color Sectional Matrix: #Garrison #Compositight3DFusion Man, that […]

Read More

Closing Massive Black Triangle Spaces with Composite Resin

(Afternoon tea pics 949.9: Ivoclar Empress Direct)   This 69 year old lady was very concerned about the ability to continue bleaching her teeth in the future. She had a […]

Read More

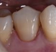
Crowns that blend perfectly into the adjacent teeth

#IPS #emaxMT on a root filled #10 Thanks Shin, as always, for your artistry. Clarrie #TheShinEffect

Read More

Chameleon Composites blending into tooth structure

Not bad for a chameleon with dehydration opacity in the surrounding tooth structure #GC #EssentiaU #SkoolToolz #HuFriedy #SkulptingSkool  

Read More

Saving Near-Hopeless Teeth

Hello Tea(m), Blindsided by this crown on this second premolar – originally a near-perio-endo lesion on a bridge abutment, the pontic was sectioned and the tooth accessed and successfully obturated.  […]

Read More

Stabilizing Cracked Teeth

Humpday Brutality: When you remove an amalgam and realize that the hairline fractures look like Toronto’s subway map.  Provisional restoration : #GC #EssentiaU #fullcoveragerequired

Read More
« Previous PageNext Page »