Warning: Undefined array key "post_type" in /var/www/vhosts/clarencetam.co.nz/httpdocs/wp-content/plugins/rmgallery2/core/public/rmg_rewrites.php on line 228
2019 | Tam Dental Group - Part 4
Skip to main content

2019

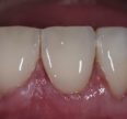
Reversing Wear on the palatal surfaces of front teeth

(Afternoon tea pics 1081.3: GC Essentia U | Voco Final Touch)   This case featured palatal lesions on teeth 9, 10 and erosive wear on 9-11 due to a likely […]

Read More

Minimally Invasive Restoration Replacements

Subtleties with Clinicians Choice Evanesce.  Like that rubber dam septa that wasn’t flossed down. =)  That anatomy on the first molar with the fissurotomy/sealant is so smick. Have a great […]

Read More

Extensive Quadrant Dentistry to Replace Old Restorations

(Afternoon tea pics 1079.1: Clinicians Choice Evanesce)   Extensive bonded core buildups in preparation for future transitional bonding on this individual with restoration margins proximal to crestal bone. The second […]

Read More

Minimally Invasive Dentistry

We thought we would replace this cemented/leaking old gold inlay with a bonded resin in a conservative manner for this 66 year old gentleman. Restorative: Clinicians Choice Evanesce Tint: Voco […]

Read More

Minimally Invasive Dentistry to Redefine Root Abrasion Lesions

Sometimes a bit of short-lived gingival bleeding (from the slightly larger rubber polishers) is all worth the redefinition of cervical shape caused by toothbrush abrasion. #ForEveryUpthereisaDown #GC #EssentiaU #MinimallyInvasiveDentistry #henryscheindental

Read More

Class III Restorations with Kulzer Venus Pearl

This materials handles like butter.  Good butter.  Decent chameleon effect for a Class III situation also. #Kulzer #VenusPearl #OraltecNZ

Read More

Natural Looking Crowns and Restorative Dentistry

(Afternoon tea pics 1075.7: Ivoclar e-max HT | Voco Grandio SO | Kuraray Majesty Esthetic flowable | Kuraray Clearfil DC Core Plus)   Love the naturomimetic translucency of e-max HT. […]

Read More

Kulzer Venus Pearl HKA2.5

Hi Guys, This is Kulzer Venus Pearl’s version of the A2:A3 mix, a proprietary mix called HKA2.5… in action on this Class III situation. Have a great night. #Kulzer #VenusPearl

Read More

Tooth Impressions Turn Digital With Primescan Intraoral Scanner

A truly successful outcome is derived from complete patient satisfaction. At Tam Dental Group, we are helping ensure patients receive the most accurate results possible with the introduction of the […]

Read More

Refacing Damaged Teeth with Composite Resin

Refining the centrals and upper right lateral of a colleague after a “rough” weekend away. Single shade chameleon effect. Teeth to be lengthened prosthetically after orthodontics in the near future. […]

Read More
« Previous PageNext Page »