Warning: Undefined array key "post_type" in /var/www/vhosts/clarencetam.co.nz/httpdocs/wp-content/plugins/rmgallery2/core/public/rmg_rewrites.php on line 228
2020 | Tam Dental Group - Part 13
Skip to main content

2020

Sculpting Invisibility into Cervical Abrasion Lesions

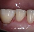
(Afternoon tea pics 1343.7: GC Essentia U)   Reinforcing and protecting cervical abrasion lesions whilst simultaneously sexying up these teeth.   #GC #EssentiaU #ClassVbangers GC Australasia Dental GC America Inc.

Read More

Amalgam removal and stain blockout

(Afternoon tea pics 1342.6: Voco Grandio SO)   Amalgam removal and skulpting. Block-out attempted with XL2 however the distal marginal ridge was “compromised with deep dentin staining”.   #Voco #GrandioSO […]

Read More

Refacing teeth with noninvasive bonded composite

Extensive Class V lesions restored with a single shade of #GC #EssentiaU

Read More

Blocking out Darkly stained dentin from cavities

Class I marathon continues.  This slow progressing semi-arrested caries subtype deeply stained the dentin requiring us to use a blockout agent (I like XL2 by Kerr Herculite) before the occlusal […]

Read More

Class I composite and caries restored with Voco Grandio SO

#Voco #GrandioSO #EverydayBiomimicry #BRD #SkulptingSkool #TamDentalGroup

Read More

Dens Invaginatus Restorations that Mimic Nature

Skulpting a replacement for early marginal failure covering this dens invaginatus on #10 (2.2) – the deep “intact” layer was left as to minimize any pulpal involvement and the hermetic […]

Read More

Restoring teeth with a dental supercomposite material

(Afternoon tea pics 1337.2: Voco Grandio SO A3)   Restoring a Class III with a single shade of A3 from the OG Supercomposite. Flexural strength: 187MPa   #Voco #GrandioSO #Ultradent […]

Read More

Esthetic Harmony in High End Direct Composite Artistry

Composite veneer #8 with crown lengthening/osseous recontouring and tunnel type hypoplastic cervical defect #9 and MIB aspect restoration 1 week reassessment. Pleased with the soft tissue resolution thus far. #Kerr […]

Read More

Amalgam removal and biomimetic composite resin replacement

#Voco #GrandioSO #Amalgamremoval #Amalgamreplacement

Read More

Smile Redesign has a major impact on face

(Afternoon tea pics 1334.7: IPS e-max HT)   Delicate balance of restoration features to try to align this lovely patient’s smile without the use of orthodontic pre-prosthetic alignment. What a […]

Read More
« Previous PageNext Page »