2020
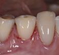
Lower incisor cervical abrasion lesions

Small Class V bangers are really difficult to skulpt for me. A beautiful chameleon effect using the A2 shade from the prototype range to be released March, 2021 by GC […]
Read MoreClass III biomimetic restorations

3 different views of Class III restorations on teeth 6 and 7. The patient wished for the hypocalcified streak on #6MB to be removed along with the caries. There is […]
Read MoreClass V restorations using a hyperfilled supercomposite resin

Class V bangers for afternoon tea. Restored using a single shade of A2 from the prototype composite from #GC
Read MoreChoosing Shades Pre-operatively with Direct Composite

This back to back anterior mandibular caries case featured significant intraoperative dehydration which tempts one to change their original choice of shade – it’s important to have an assistant who […]
Read MoreVoco Grandio SO deep caries restored biomimetically

(Afternoon tea pics 1409.9: Voco Grandio SO) Flexing some of the original supercomposite material with a 439MPa compressive strength, #Voco #GrandioSO with fissure tinting completed using #FinalTouch brown. VOCO VOCO […]
Read MoreResin Infiltration and Composite Repair for an 11 year old

A combination resin infiltration and composite layering case (#9) to restore confidence to this lovely 11 year old boy’s smile. Infiltrant: #DMG #Icon Restorative: Bond: #MPaBond #CliniciansChoice Restorative: Material: #Evanesce […]
Read MoreHypomineralized Molar Restorations Pediatric

(Afternoon tea pics 1407.7: GC Prototype Composite | Essentia Modifier White) Hypomineralized molar restorations we teach in SkulptingSkool 101 using the new GC Prototype Composite and some Essentia Modifier […]
Read MoreMinimal Invasion Replacements of Old Shallow Restorations

Minimally invasive Class I composite replacements. #GC #PrototypeComposite
Read MoreAmalgam Removal

#GC #Prototype #AmalgamReplacement
Read MoreCervical Abrasion Posterior Composites Buccal

Class V restorations restored using a single shade of A2 in the prototype composite material. Details to be released soon! #GC #Australasia #cervicalabrasionlesions #ClassVbangers
Read More