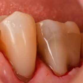
DMG Resin infiltration and edge bonding
#ResinInfiltration on #7-10 (target really was #8-9) #ResinBonding to restore #9FI using shades O1, TL, HT from #VocoAmaris
Read More
Kerr Simplishade Bulk Compressive and Flexural Strength
Class I direct resin esthetics. A single shade to cover all 16 Vita shades with low shrinkage stress due to ART3 Ternary Adaptive Response Technology Vitals: Compressive strength: 406MPa (enamel […]
Read More
Use of DSD and the aesthetic pre-evaluative technique
(Afternoon tea pics 2052.6: IPS e-max | Closed Flap Transsulcular Crown Lengthening) This lovely 78 year old patient presented with pre-existing incisal plane and gingival plane cants which he was […]
Read More
Composite Veneer Replacement Voco Amaris
Replacement of old composite restorations on #8 and 9 status post dental trauma when this 16 year old female was 8. In addition to having unacceptable symmetry and esthetic integration, […]
Read More
Voco Grandio SO Unlimited Chameleon effect demonstration
(Afternoon tea pics 2050.4: Voco Grandio SO Unlimited | Garrison Firm Band) Class III replacement with marginal ridge reconstruction using a simple Garrison Firm Band and fin wedge without need […]
Read More
Invisible Composite Direct Restorations Auckland
(Afternoon tea pics 2049.3: Kerr Simplishade Medium | Clearfil Majesty Flow) Class I action featuring substrate optimization using 29 micron aluminum oxide #aquacare, a microlayered base to properly hybridize dentin […]
Read More
Adding Anatomy to Restorations Increases Chewing Efficiency
Access to this wisdom tooth was definitely challenging, but the result made it worth it. Teeth restored featuring functional anatomy increase the chewing efficiency and effectiveness to close of that […]
Read More
Voco Amaris Composite Veneers to Blend with Hypomineralization
(Afternoon tea pics 2047.2: Voco Amaris composite veneers | 2 week reassessment) Spot the difference. The patient’s upper right lateral incisor and lower left central incisor both were status-post trauma […]
Read More
Matrix in Matrix technique | Voco Grandio SO Unlimited | Garrison Quad Matrix
(Afternoon tea pics 2046.6: Voco Grandio SO Unlimited | Garrison Quad Matrix) Cracking back into the swing of things with a B2B2B case with marginal ridge reconstruction using the Garrison […]
Read More
Garrison Quad Matrix back to back Class II simultaneously
Flexing the Garrison Quad in the way it was meant to be used – back to back Class II situations with marginal ridges completed simultaneously with the bifurcated wedge. The […]
Read More