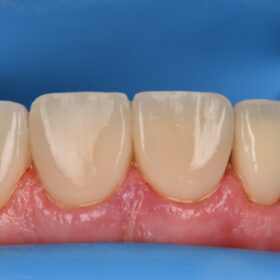
Inserting maverick effects into a layered composite veneer
Replacement of this old composite veneer on this lovely teenager’s tooth 24/3.1 as the patient requested matching the maverick effects to her adjacent teeth. The result is reasonable, and the […]
Read More
Simplishade Occlusal Layering
Classic Class I using XL2 microlayers to lift the brightness of the dentin substrate prior to a C-factor reduced layering protocol to finish the occlusals. #KerrSimplishade #HerculiteUltraflowXL2
Read More
Garrison Quad Matrix | Simplishade Medium
(Afternoon tea pics 2042.2: Garrison Quad | Kerr Simplishade | Matrix in Matrix) Restoring a massive carious lesion in a back to back fashion in these two bicuspids using the […]
Read More
The Garrison Quad Matrix bifurcated wedge
Marginal failure plagued this lower first bicuspid with the added complication of a lingualized second premolar which complicated the placement of the matrix assembly. Nonetheless, the Garrison Quad system shone […]
Read More
Considerations for Partial Replacement Composite Restorations
My rule with partial replacement restorations is that these are only acceptable if: i) you have placed the restoration yourself previously, and ii) it passes the air particle abrasion test. […]
Read More
Chameleon effect demonstration Clearfil Majesty ES-2 Classic
Chameleon effect demonstration using a single shade of A2 Clearfil Majesty ES-2 Classic to restore the abrasion lesion on this retained primary second molar. #ClearfilMajestyES2 #ChameleonEffectDemonstration
Read More
Voco Grandio SO Unlimited A3
Unlimited esthetics and optimal strength with #VocoGrandioSOUnlimited.
Read More
Using a supercomposite to create a canine bicuspid tooth
This lower right canine exhibited moderate to severe attrition paired with incisal erosion which happened to abut an old amalgam restoration. As there was no occlusal space to build the […]
Read More
Voco Grandio SO Unlimited A3
Class V and separate facial amalgam removal and restoration using a single shade of the cloud-shaded A3 shade from Grandio SO Unlimited. Featuring a compressive strength of 333MPa (enamel 384MPa, […]
Read More
Implant Access Closure with Composite Sequence
Zirconia Implant Access Closures // Considerations: ^ Both phosphates from saliva as well as phosphoric acid contaminate zirconia preventing any form of adhesive attachments. ^^ Modes of phosphate removal: i) […]
Read More