Warning: Undefined array key "post_type" in /var/www/vhosts/clarencetam.co.nz/httpdocs/wp-content/plugins/rmgallery2/core/public/rmg_rewrites.php on line 228
Dental Treatment News Blog Auckland NZ - Part 190
Skip to main content

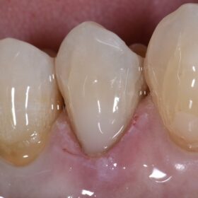
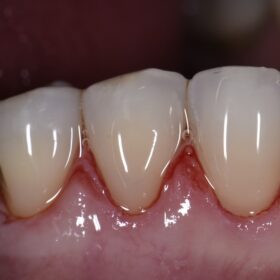
Class V GC Essentia U composite blend

Finishing one of the last few cases for awhile using Essentia U at the end of my syringes – going to try doing ultimate Class V’s using different materials and […]

Read More

Minimal Intervention Dentistry Hypomineralized Lesions

(Afternoon tea pics 1348.3: Clinicians Choice Evanesce | DMG Icon)   Combination hypomineralization and hypoplasia on tooth #9. Immediate post-op result.   Sequence: Custom bleaching trays Assessment for microabrasion (Opalustre, […]

Read More

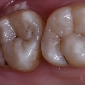
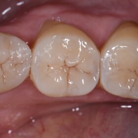
Reversing Erosive Lesions Mimicking Nature

(Afternoon tea pics 1345.1: Voco Grandio SO)   Had a great appointment with my after-lunch patient today reversing erosive lesions in the 3rd quadrant. Very lucky that minimal occlusal adjustments […]

Read More
« Previous PageNext Page »