Warning: Undefined array key "post_type" in /var/www/vhosts/clarencetam.co.nz/httpdocs/wp-content/plugins/rmgallery2/core/public/rmg_rewrites.php on line 228
Dental Treatment News Blog Auckland NZ - Part 193
Skip to main content

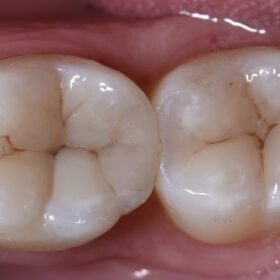
Minimally Invasive Restorative Dentistry

Class I Skulpting using GC’s soon-to-be-released composite.  Soft, buttery but yet not a lot of slump.  Liking it! #GC #Prototype #HenryScheinDentalNZ #MinimalInvasiveDentistry

Read More

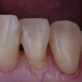
Long and large root surface lesions

Afternoon tea pics 1313.3: Kuraray Majesty ES-2 Classic | Majesty ES Flow)   Large, extensive radicular Class V lesions restored with a combination of Majesty ES Flow and Majesty ES-2 […]

Read More
« Previous PageNext Page »