Class I restorations efficiently layered with Grandio SO
(Afternoon tea pics 1265.9: Voco Grandio SO) Class I, Mach 1 using… #Voco #GrandioSO #FinalTouchtints #SkulptingSkool #TamDentalGroup
Read More
Acid Damage Reversed with a Supercomposite
Extensive erosive damage insulated and restored to full contour using a single shade of A2 Grandio SO. #Voco #GrandioSO #AcidAttackReversal
Read More
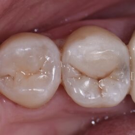
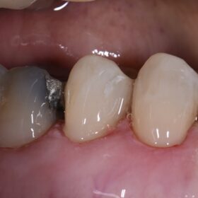
Cavities between the teeth restored like natural teeth
#Shofu #Beautifil_II_LS Class II with the simple fissure system.
Read More
Acid erosion by the gumline restored invisibly
This was an interesting Class V cervical erosion case that almost looked like veneer preps were defined cervically and then mission aborted. #GC #EssentiaU
Read More
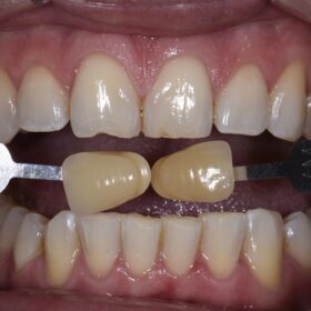
Tooth Whitening Predictability to Lift Confidence
The OG protocol by Van Haywood and Haymann in 1989 still delivers predictability beautifully. Non-invasive cosmetic dentistry is sometimes very satisfying. #Opalescence #VitalBleaching #Nightguardbleaching #Ultradent
Read More
Supercomposite replacement to support cracked amalgam filled teeth
Amalgam replacement with bonded Supercomposite – the base was opaqued out using a multilayer flowable approach using XL2 (Kerr Herculite) to allow for greater internal reflection. #Kerr #Herculite #Voco #GrandioSO […]
Read More
Caries and Amalgams removed and replaced with supercomposite
Amalgam and caries attacked with #Voco #GrandioSO
Read More
Rejuvenation of teeth with cavities using a supercomposite
(Afternoon tea pics 1257.8: Voco Grandio SO) Rejuvenation of these premolars using the OG Supercomposite. #Voco #GrandioSO VOCO GmbH – The Dentalists
Read More
Composite Onlays for Conservation of Tooth Structure
(Afternoon tea pics 1257.7: Shofu Beautifil II LS) Freehand direct reconstruction of this fractured lingual cusp and associated old DO restoration on tooth #29 (4.5). #Triodent #V3 #Ultradent […]
Read More
Multiple deep root scrubbing lesions restored invisibly
Class V bangers for breakfast – really love these subgingival, deep, tortuous varieties proximal to the pulp. These are situations where microlayering will minimize C-Factor stresses in these applications. #GC […]
Read More