Chasing nature with skulpted Supercomposites
Chasing nature. #Voco #GrandioSO #Ultradent #Dermadam
Read More
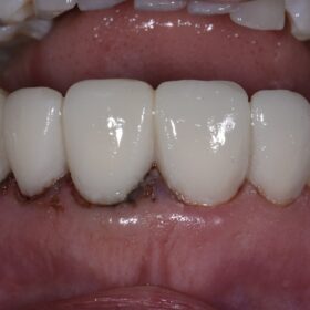
Pre-prosthetic orthodontics opens up possibilities
A short course of pre-prosthetic orthodontics can open up a world of possibility for patients like this who wish to have longer teeth, but feature an anterior edge-to-edge starting position. […]
Read More
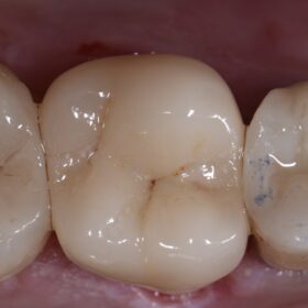
All ceramic crown solutions for heavily-restored teeth
(Afternoon tea pics 1253.3: IPS e-max MT) Full coverage indirect solution for recurrent caries on this complex old composite restoration. Thanks as always, #TheShinEffect for the artistry and the […]
Read More
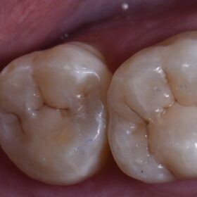
Replacing old amalgams with Beautifil II LS Giomer composite restorative
Smashing amalgam replacements with #Shofu #Beautifil_II_LS. The small overhang on the palatal was removed in final finishing.
Read More
Shofu Beautifil II LS Erosive Lesion Protection
Protection of erosion lesions using skulpted giomer-enhanced composites. #Shofubuzz #DentalErosion #Beautifil_II_LS
Read More
Replacement of old composite using Shofu Beautifil II LS
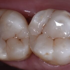
Recurrent caries removed along with the old restoration in this case featuring #Shofu #Beautifil_II_LS
Read More
Mimicking nature with modern supercomposite resin
Biomimicry using a Giomer-enhanced composite resin restorative with 0.85% polymerization shrinkage (vol.) and 2.72MPa shrinkage stress. #Shofu #Beautifil_II_LS
Read More
Chasing Nature’s Beauty with Composite Resin Bonding
(Afternoon tea pics 1248.4: Voco Grandio SO | Garrison Compositight 3D Fusion) A little heart action in this old DOP restoration. Hope you have a DOPE weekend. All about […]
Read More
Closing Implant Screw Access Holes Biomimetically
Atlantis custom zirconia screw-access abutment closed with a single shade of Voco Grandio SO A2. #DentsplyImplants #ZirconiaCrown #Voco #GrandioSO #FinalTouch
Read More
Esthetic reconstruction with DSD guided gingivo osseous recontouring
Warning: Graphic photos ahead This nice 54 year old female desired a correction of her occlusal and gingival cant with simultaneous correction of the midline cant. She rejected the option […]
Read More