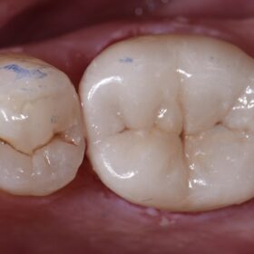
Routine nature-mimicking composite fillings
Flexing with Voco Grandio SO. Speaking of which: flexural strength = 187MPa (dentin = 165.5MPa). #Voco #GrandioSO #Supercomposites
Read More
Sculpting Nature with Resin Composite
Resin rejuvenation. The equivalent of getting a much-needed facelift. #Voco #GrandioSO #ResinArtistry #SkulptingSkool
Read More
Supporting Cracked Teeth with Minimally Invasive Bonded Crowns
Many thanks to @shintsuji for the artistry and “fits that drop.” #IPS #emaxMT #TheShinEffect
Read More
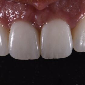
Smile Design Veneers and Implant Replacing Primary Canine
Frontal 1:2 ratio unretracted photos of the previous case featuring a mesialized 11 (2.3), retained H (6.3) with digitally guided smile design. Restorative: Straumann NNC AS channel screw retained (11/2.3 […]
Read More
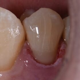
Small Sensitive Root Abrasion Lesions
The smallest subgingival areas are for me one of the hardest regions to treat well. #GC #EssentiaU
Read More
Renovating Denture Teeth to gain Positive Occlusion
Pimping denture teeth to gain positive occlusion. #Voco #GrandioSO
Read More
Rebuilding palatal anatomy after internal bleaching
Palatal anatomy with #Voco #GrandioSO for these internally-bleached teeth. Veneer on tooth 8 to be replaced soon. #bioemulation
Read More
Smile Design with an Implant Supported Crown
We had the opportunity to treat this maxillary esthetic rehabilitation case featuring: – Congenitally missing lateral incisor – Retained upper left primary canine – Mesialized permanent left canine The implant […]
Read More
Reshaping peg laterals to improve symmetry with composite resin
Reshaping lateral incisors with minimally-invasive resin bonding to create better symmetry in this 30 year old female’s smile. #CliniciansChoice #Evanesce
Read More
Amalgam replacement with beautifully skulpted resin
#Shofu #Beautifil_II_LS #AmalgamReplacement
Read More