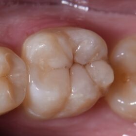
Restoration of a Hypomineralized Molar
Re-restoration of a hypomineralized molar on a lovely 15 year female. Compressive strength 368MPa (enamel = 384MPa) – a very close match. #Shofu #Giomerstyle #Beautifil_II_LS
Read More
Instant orthodontics using Restorative Rotation
Instant orthodontics with some restorative rotation using #CliniciansChoice #Evanesce. Incisal halo and translucency options declined by patient. Shades: B1D, B0.5E
Read More
Distally tipped second molar restorations
I’m glad Monday also included a distally tipped upper second molar for fun. #Shofu #Beautifil_II_LS
Read More
Chasing vertical hairline fractures
Exploratory restoration dissecting out a vertical hairline fracture that thankfully only extended 50% of the way to the pulp. Restored in micro-layers with #Shofu #Beautifil_II_LS.
Read More
Class I restorations using a Giomer composite resin
Class I enjoyment with #Shofu #Beautiful_II_LS.
Read More
Tooth Crush Fractures Restored with Fluoride-releasing material
Enamel-dentin fractures restored using a single shade of A3 #Shofu #Beautiful_II_LS.
Read More
Tooth wear reversed
Tooth wear reversed using #Shofu #Beautiful_II_LS. Compressive strength 368MPa, flexural strength 117MPa. 0.85MPa shrinkage stress.
Read More
Copying Nature using a fluoride-recharging composite resin material
Chasing nature with Giomer-based composite, #Shofu #Beautiful II LS. Compressive strength 364MPa.
Read More
Creating Youthful Smiles for Heavily-Restored Teeth
Smile design with the Shin Effect. #TSE #IvoclarVivadent #IPSemaxMT #youthenize
Read More
Non-invasive resin bonding to change shape of lateral incisor
Squaring up rounded lateral incisors with non-invasive bonding. Shades: B0.5U (lingual shelf), B1D (dentin volume, incisal halo), EWC (translucency), white tint. #CliniciansChoice #Evanesce
Read More