Warning: Undefined array key "post_type" in /var/www/vhosts/clarencetam.co.nz/httpdocs/wp-content/plugins/rmgallery2/core/public/rmg_rewrites.php on line 228
Dental Treatment News Blog Auckland NZ - Part 204
Skip to main content

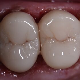
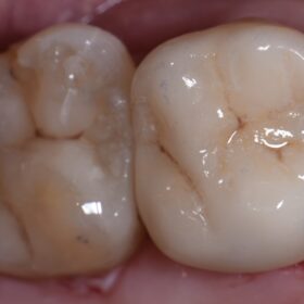
Large old fillings selectively removed and restored

In retrospect, to prevent “overly straight” interdental contours that obviate the placement of a Garrison/Triodent/Palodent anatomically curved matrix, it is important to recontour the adjacent proximal axial walls so that […]

Read More

Ovate Pontic Site Development

(Afternoon tea pics 1212.4: Ovate Pontic Site Development)   The ovate pontic site was developed using the Kois Surgical System bur block from Brasseler but would have been even better […]

Read More
« Previous PageNext Page »