Amalgam Replacements with a Beautiful Composite Resin
(Afternoon tea pics 1176.2: Shofu Beautiful II LS) Class II’s really make me happy on a Monday. Remember to establish “clearance” cervically, proximobuccally and proximolingually before you attempt any […]
Read More
Nature Mimicking Composite Fillings
(Afternoon tea pics 1175.1: Shofu Beautiful II LS) Some of the types of cases I love to do – minimal invasion, trying to do mother nature justice. This one […]
Read More
Simplicity in Composite Layering
Simplicity in layering for a world of difference for this beekeeper. Rubber dam ripped during placement due to sharp incisal embrasure intersections – no time to replace – it was […]
Read More
Minimally Invasive Biomimetic Dentistry
Using the OG Supercomposite in this minimally invasive case. #Biomimicry #Voco #GrandioSO #TamDentalGroup
Read More
Complex Reconstruction of Near-Hopeless Teeth
Sometimes, your afternoon goes pear shape – you learn what failure is about, or about unexpected ambushes in treatment. Tooth #3 (1.6) was planned for exodontia due to perio-endo lesions […]
Read More
Minimal shrinkage composite technology
#Shofu #Beautiful_II_LS . 0.85% polymerization shrinkage (vol.). Shrinkage stress: 2.72MPa
Read More
New HuFriedy Akroflex Composite Brush
Reversing Class V lesions using the Brinker B4 and Isodam. Single shade chameleon effect with Essentia U (50:50 ratio A2:A3), brushed in place with the new Hu-Friedy Akroflex nickel titanium […]
Read More
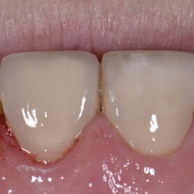
Class V restorations on tetracycline affected teeth
Class V lesions restored invisibly on these tetracycline-banded teeth creating an excellent chameleon effect using #GC #EssentiaU. That blend of A2:A3 is utter swoonworthy.
Read More
Minimally Invasive Tooth Preparation and Restorations
(Afternoon tea pics 1168.8: Voco Grandio SO) Slot preparations with the critical cavosurface bevel – without this often “white line fever” occurs, which is a tearing of the enamel […]
Read More