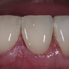
Class III Restorations with Kulzer Venus Pearl
This materials handles like butter. Good butter. Decent chameleon effect for a Class III situation also. #Kulzer #VenusPearl #OraltecNZ
Read More
Natural Looking Crowns and Restorative Dentistry
(Afternoon tea pics 1075.7: Ivoclar e-max HT | Voco Grandio SO | Kuraray Majesty Esthetic flowable | Kuraray Clearfil DC Core Plus) Love the naturomimetic translucency of e-max HT. […]
Read More
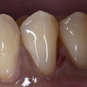
Kulzer Venus Pearl HKA2.5
Hi Guys, This is Kulzer Venus Pearl’s version of the A2:A3 mix, a proprietary mix called HKA2.5… in action on this Class III situation. Have a great night. #Kulzer #VenusPearl
Read More
Tooth Impressions Turn Digital With Primescan Intraoral Scanner
A truly successful outcome is derived from complete patient satisfaction. At Tam Dental Group, we are helping ensure patients receive the most accurate results possible with the introduction of the […]
Read More
Refacing Damaged Teeth with Composite Resin
Refining the centrals and upper right lateral of a colleague after a “rough” weekend away. Single shade chameleon effect. Teeth to be lengthened prosthetically after orthodontics in the near future. […]
Read More
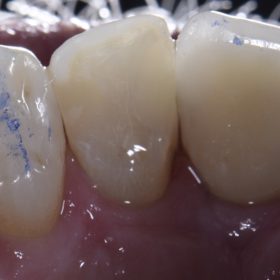
Working with Chameleon Composites
Happy Thursday, It’s an interesting situation when a previous dentist really doesn’t want his/her crown to break and decides to brace the adjacent teeth with these little wings. How many […]
Read More
Small Restorations to Reduce Sensitivity
I find the small things the most gratifying sometimes. This young lady’s tooth #5/1.4 was so sensitive to tactile exploration that she would cringe if you even retracted her cheek. […]
Read More
Composite Filling Replacement with Nature-like form
Class II fun with Voco Grandio SO, Final Touch Brown tint and Isodam. Proximal wall reconstructed using the Garrison Compositight 3D Fusion system. Skulpted using SkoolToolz by HuFriedy #RestorativePrecision #Voco […]
Read More
Clinicians Choice Evanesce to restore extensive dental decay
(Afternoon tea pics 1068.8: Clinicians Choice Evanesce) Afternoon/Evening All, I had the opportunity to trial Evanesce by Clinicians Choice today on this lovely patient with extremely aggressive caries. […]
Read More