Large Class II boxes with Garrison Compositight 3D Fusion
(Afternoon tea pics 1067.1: Voco Grandio SO) This was an ambush large Class II situation with compromise of the MB cusp. Fortunately, even though this second molar was the […]
Read More
3B Protocol Braces Bleaching Bonding
Happy Monday, One of the hallmark protocols at our practice is the 3B’s: “Braces, Bleaching, Bonding”. This was a reassessment on some strategic bonding completed recently on teeth 8 and […]
Read More
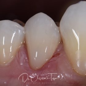
Minimal Resin Bonding to Generate Better Symmetry
(Afternoon tea pics 1065.6: Kerr Harmonize) Need to add a touch to the distocervical of #9 to balance things out better mesiodistally. #Kerr #Harmonize #KerrKolor #Isodam #Direct KaVo […]
Read More
Deep cavities and fillings that copy nature
Class II fun with deep caries on tooth 18/3.7. Tooth 19/3.6 features extremely deep composite proximal to the pulp – caries detector demonstrated a tight seal in this region as […]
Read More
Consequences of Tooth Loss
A gap in your smile is probably one of the most immediate concerns that come to mind when you lose a tooth, but unfortunately absent teeth can threaten more than […]
Read More
Transforming Smiles Before Weddings
Class V bangers continued in the first quadrant. #GC #EssentiaU #TransformingLivesOneSmileatATime #TamDentalGroup
Read More
Realistic looking fillings
Sometimes the depth of an existing restoration is so proximal to the alveolar crest and the old restoration so irritating to the tissues that copious bleeding compromises the rubber dam […]
Read More
First Aid for Cervical Abrasion Lesions
Starting Humpday off with some first aid for a lost old restoration on a cervical abrasion lesion. #GC #EssentiaU #PremioBond
Read More
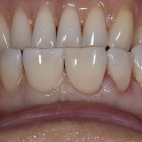
Non-Invasive Composite Veneers
Non-invasive composite veneers from 6-11 (1.3-2.3) for this lovely patient. #Kerr #Harmonize #TamDentalGroup #ResponsibleEsthetics
Read More
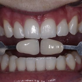
Predictable results in whitening teeth
Can’t argue with bleaching science – when delivered in a controlled, tested modality, whitening results like this predictably achieved by our practice. #Ultradent #Opalesence
Read More