Warning: Undefined array key "post_type" in /var/www/vhosts/clarencetam.co.nz/httpdocs/wp-content/plugins/rmgallery2/core/public/rmg_rewrites.php on line 228
Dental Treatment News Blog Auckland NZ - Part 221
Skip to main content

Getting Smiles Wedding Ready

(In the process) Redefining this patient’s smile in preparation for a wedding.  Cervical lesions made invisible in the 2nd quadrant.  Still need to do the first quadrant, but what a […]

Read More

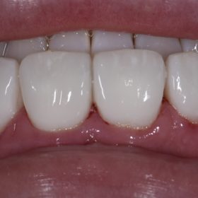
Root lesions restored

This Class V is a case where the chameleon effect of Essentia U doesn’t blend too well – again, in older individuals, a minimum of an A3 to A3.5 should […]

Read More
« Previous PageNext Page »