Setting up reconstruction of severely broken down molars
Setting up the reconstruction of a severely broken down pin-retained complex composite on this lower second molar. The pin was removed and the space occluded incrementally using SDR+ A1 as […]
Read More
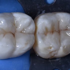
StyleItaliano Whiteology Posterior Composite
Standard Class I’s made fun using the P shade (Posterior shade) from StyleItaliano Whiteology by Optident. Amazing chameleon effect and handling – not sticky, not really slumpy at all. Available […]
Read More
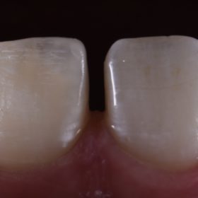
StyleItaliano Whiteology Class IV Fracture Restoration
(Afternoon tea pics 957.7: StyleItaliano Whiteology Optident Class IV fracture restoration) Happy Friday, This 12 year old young man presented to my practice with an uncomplicated enamel-dentin fracture […]
Read More
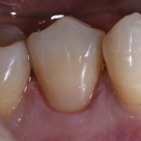
StyleItaliano Whiteology Composite Posterior Application
Happy Friday! I had the chance to test drive the new sexy StyleItaliano #Whiteology composite in the P (Posterior: chameleon effect) shade today. Axial reconstruction courtesy of #Garrison #Compositight3DFusion #StyleItaliano […]
Read More
Chameleon Fillings with GC Essentia
Class III chameleon action with GC Essentia U. Line angles look brighter in value, mid-palatal appears more chromatic. #GC #Essentia #Essentials
Read More
Root Lightening Fillings
(Afternoon tea pics 954.4: GC Essentia U) This patient had a cervical abrasion lesion that she wanted to protect. Humpday Class V banger completed using #GC #EssentiaU #RootLighteningEffect #Subtleties
Read More
Nicest Feeling Rubber Dam by Ultradent
Had a bit of fun with this caries ambush. Single shade restoration with #VenusPearl A2 by #Kulzer. The best rubber dam in the world: #Dermadam #Ultradent
Read More
Making Fillings Invisible with Biomimetic Dentistry
(Afternoon tea pics 952.2: Venus Pearl A2 | Garrison Compositight 3D Fusion) Back to back large Class II caries restored with this outstanding chameleon. #Venus #Pearl A2 #Cosmedent […]
Read More
Ivoclar Powerfil 3 second cure
The new 3 second bulk fill called #Powerfil by #IvoclarVivadent. Reason for retreatment: recurrent caries cervically. Bonding system: #AdheSE Universal Tint system: #Empress Color Sectional Matrix: #Garrison #Compositight3DFusion Man, that […]
Read More