Refreshing Old Composite Veneers with New Resin Layering
Refreshing Old Composite Veneers with New Resin Layering #Kerr #Harmonize #KerrKolor+
Read More
Root Wear: How it can be treated conservatively
(Afternoon tea pics 880.1: GC Essentia U | G-MultiPrimer | G-Premio Bond) #GC #Essentia U to restore the cervical aspect of a porcelain veneer overhang (#6) and to replace […]
Read More
Retrofitting fillings to dentures
Turning tricks with the new #Ultradent #Omnimatrix and #GC #EssentiaU. #SanctuaryDentalDams #AmtechDentalNZ #HenryScheinNZ
Read More
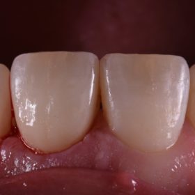
Exceeding Expectations with Non-Invasive Whitening
What was initially planned for whitening paired with macroreduction and partial veneers on this lady has worked so well with whitening alone that we do not feel that any sort […]
Read More
Large, Deep Cavities Restored Biomimetically
(Afternoon tea pics 877.2: GC Essentia U | Ultradent Omnimatrix | Sanctuary Dental Dams) Extra deep Class II’s restored using the new #Ultradent #Omnimatrix and #GC #Essentia_U. Needed to […]
Read More
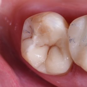
Replacing Old Fillings with Sculpted Resin
Standard resto and fissurotomy/sealant combo for this second molar (pronounced ‘moh-lAAAA). #GC #EssentiaU
Read More
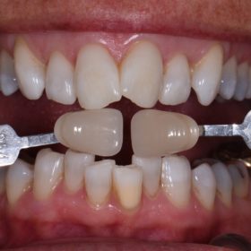
Matching Two Artificial Teeth in a Sea of Natural Teeth
Hi Tea(m), A nice 48 year old female referred to my service for replacement of the failed veneer and crown on #9 and 10. The provisional was fabricated via an […]
Read More
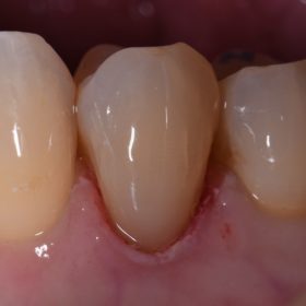
Class V bangers
(Afternoon tea pics 874.4: GC Essentia U | Class V bangers) #GC #EssentiaU
Read More
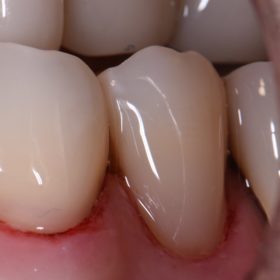
Making ToothBrush Abrasion Classy Again
For Class V’s there is no better material for me. The chameleon effect is unmatched. Have an amazing humpday, Clarrie #GC #EssentiaU #ClassV #HenryScheinNZ
Read More
Direct Reconstruction of a Severely Broken Down Tooth
(Afternoon tea pics 871.2: GC Essentia U | Essentia Modifiers) Tooth #2/17MODB #GC #Essentia U Essentia Modifier Dark Brown Thanks to my super assistants Sudeshna Lahiri and […]
Read More