Implant Impression Precision
We had the opportunity to trial Honigum Heavy today in the Mixstar in conjunction with Honigum Light. It is a nice impression material with an extremely high Shore hardness on […]
Read More
Closing Black Triangles in the Dental Midline
(Afternoon tea pics 849.9: Kerr Harmonize XL1) Closing small black triangles for me is one of the hardest things in aesthetic dentistry. This 52 year old patient had old […]
Read More
Yellow Teeth Whitened
Opalescence. Exceeding Expectations Clinically. Everyday. #Ultradent #Opalescence #DazzleMeDazzleYou #TamDentalGroup
Read More
Acid Erosion: Rebuilding Nature’s Function and Aesthetics
(Afternoon tea pics 847.7: GC Essentia U | Essentia Modifiers | Garrison Compositight 3D Fusion) Hello hello, Tooth #3 (16) was sensitive to biting pressure and radiographically exhibited […]
Read More
Large Cavities Turned Invisible
So I did battle with this 18DOBL / 37DOBL this afternoon and I don’t know who won really. #Kulzer #VenusPearl
Read More
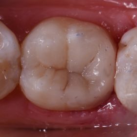
Removing Old Ugly Amalgam Fillings
Class II with Essentia U *that rhymes*. Single shade – pretty decent chameleon effect. #GC #EssentiaU #SanctuaryDams #AmtechDentalNZ #HenryScheinNZ
Read More
Even wisdom teeth deserve beautiful fillings
(Afternoon tea pics 843.7: Kulzer Venus Pearl | Sanctuary Dams) Interesting angle on this 28. #Kulzer #VenusPearl #SanctuaryDental #SkulptingSkool Oraltec Kulzer North America Kulzer Kulzer México Kulzer Nordic […]
Read More
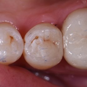
Rebuilding Teeth with Severe Dental Decay
(Afternoon tea pics 842.2: GC Essentia U | Essentia Modifiers RBM) Bombed out. Incrementally restored using GC Essentia U. Didn’t see that little cusp tip hypoplastic pit. I may […]
Read More
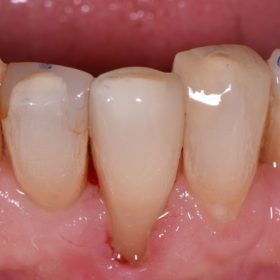
Sensitive Necks of Teeth Restored Invisibly
Class V cervical abrasion lesion restorations with #GC #EssentiaU #Matchmadeinheaven
Read More