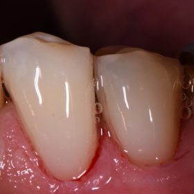
Changing Smile Confidence with Root Coverage Restorations
Changing root confidence, one tooth at a time. #GC #EssentiaU
Read More
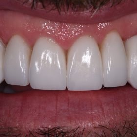
Smile Reconstruction | Smile Makeover | Best Cosmetic Dentist New Zealand
It’s nice to change a life. #2monthreassess #Gaenial #GC #UniversalInjectable #GaenialAnterior #transitionalbonding #GPremioBond #CosmeticDentistry #SmileReconstruction
Read More
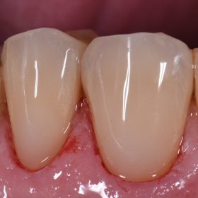
Additive Recontouring in cases of excessive interproximal stripping | Restorative Dentist Auckland
What happens when you get a case for reconstruction after “stripping gone bad”, and I don’t mean someone fell off a pole and broke their face. Enamel stripping with unintentional […]
Read More
Corrective Resin Bonding for Incisor Hypomineralization | Treatment of Brown Spots on Teeth
Afternoon tea pics 748.8: Ultradent Vit-l-escence | Ultradent Peak Universal Bond) Happy Tuesday, This healthy 15 year old female presented to my service for restorative correction of Incisor hypomineralization in […]
Read More
Beautiful Composite Dentistry | Cosmetic Dentist Auckland
Starting off Monday with those Essentia Class V bangers. Bonded naturally using G-Premio Bond. #glosslikeaboss #GC #EssentiaU #GPremioBond
Read More
Resin Artistry | Composite Bonding | Restorative Dentist Auckland
Extremely large 48MOB restoration with arrested caries on the linguoocclusal line angle that I am “watching” over time. I mean, I might not drill into it today, but tomorrow… Single […]
Read More
Composite Sculpting | SkoolToolz | HuFriedy | Cosmetic Dentist New Zealand
Hope your respective long weekends were amazing. It’s nice to do things like dust, which I certainly needed to do (I don’t really know how to dust). I also found […]
Read More
Vampire Teeth | Fang Feels | Cosmetic Dentist Auckland
(Afternoon tea pics 742.2: Fantabulize your fangs! | IPS e-max MT BL2) When your favorite vampire patient flies in from Transylvania just in time for Halloween. Fantabulize your fangs! #vampirediaries […]
Read More
Dental Anatomy | SkoolToolz | HuFriedy | Cosmetic Dentist Auckland
Possibly a touch on the chromatic side with this, but definitely an indulgence using #SkoolToolz #HuFriedy #KulzerVenusPearl #Voco #FinalTouch
Read More