Warning: Undefined array key "post_type" in /var/www/vhosts/clarencetam.co.nz/httpdocs/wp-content/plugins/rmgallery2/core/public/rmg_rewrites.php on line 228
Dental Treatment News Blog Auckland NZ - Part 250
Skip to main content

Large Fillings without the need for porcelain crowns

Large Class II replacements with predictable contact reproduction. #VenusPearlA3 #iBondUniversal #MDP #bonding #ResinArtistry #CompositeArtistry #Ultradent #OmnimatrixClear #SkulptingSkool #HuFriedy #SkoolToolz #GarrisonCompositight3DFusion #ongard #isodam #aluronz

Read More

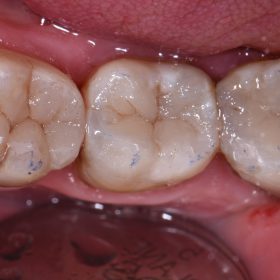
Amalgam Removal | Precision Cosmetic Dentistry

This patient presented with generalised failure of his old composite and amalgam restorations, tooth 47 specifically exhibiting a stained hairline fracture on the OL (distal aspect) with recurrent caries under […]

Read More

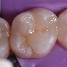
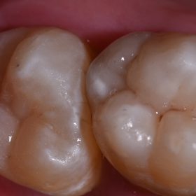
Composite Filling Replacements

Composite sometimes pits and sometimes fractures over time, leading to lack of hermetic sealing and risk of caries development.  In this case, the old composite exhibited marginal failure and physical […]

Read More
« Previous PageNext Page »