Combination Digital and Analog Veneer Workflow
Afternoon tea pics 690.1: Digital to Analog) Sometimes, the analog workflow based off the digital workflow captures the accuracy of the former with the efficiency and predictability of the latter. […]
Read More
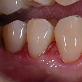
Toothbrush Wear: Solutions for Reversal
Class V’s are usually an A3 for 85% of my patient base. If you happen to have a patient that may consider whitening in the future, why not use an […]
Read More
Abrasion Lesions | Cosmetic Dentist Newmarket and Devonport Auckland
Toothbrush wear happens to the best of us. Excessive brushing pressure with the wrong brush, often paired with an overly abrasive toothpaste (such as whitening toothpastes), can often lead to […]
Read More
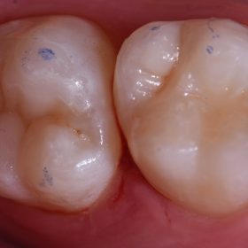
Reconstruction of Huge Fillings | Restorative Dentist Auckland
Huge Class II’s reconstructed using the Wide Prep ring from Garrison. With this ring, you can easily re-establish 95% of your wall contour, and do any touchups freehand with ease. […]
Read More
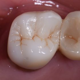
Safe Amalgam Removal | Precision Restorative Dentist
Back to back Class II action bonded with GC Premio Bond using #GC #Essentia_U. Skulpted with #SkoolToolz #HuFriedy. #Garrison #Compositight3DFusion #SanctuaryDams #AmtechDental #HenryScheinDental
Read More
Replacing Old Leaking Fillings with Dental Artistry using Composite Resin
Happy #Friyay Looking to integrate various ratios of A2 and PN into the composition to mimic a single body shade composite with Vit-l-escence. The marginal ridge under the old restoration […]
Read More
Removing Metal Fillings and Replacement with White Fillings
Trying to wrestle one of the godfather of esthetic composites into posterior submission. #Ultradent #Vitl_l_escence shades PN, A2. #Idontknowwhoiswinning
Read More
Repolishing of Porcelain Crowns | Cosmetic Dentist Auckland
The Jiffy System by Ultradent allows a single set of polishers to be used for all porcelain adjustments including feldspathic porcelain, lithium disilicate and zirconia. Pre-polishers: dark orange Final polishers: […]
Read More
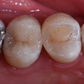
Filling integration | Invisible Dentistry
Class II restorations courtesy of Ultradent Vit-l-escence shades PN (Pearl Neutral) and A2. Sealant integration on 16M courtesy of Permaflo. Have a fly afternoon, Clarrie #Ultradent #Vitlescence #ClassIIintegration #Permaflo
Read More
Composite Artistry | Dentist Auckland
Hi Tea(m), After excavation of recurrent caries underneath these 10 year old composite restorations, the new restorations were layered in with a single shade of A2 Venus Pearl. What a […]
Read More