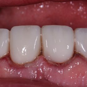
Eligibility of Hypomineralized Lesions for Microabrasion | Cosmetic Dentistry Auckland
Happy Friday! This is a good example of a case I would consider eligible for microabrasion using Opalustre (6.6% HCl (aq) and silica carbide abrasive) as transillumination shows a more […]
Read More
Full Dental Makeover | Extreme Makeover | Laser Gum Surgery
Hello again, This was a Digital Smile Design-driven case (Smile Designer Pro, Toronto) with transsulcular osseous resection and gingival recontouring courtesy of the Ultradent Gemini dual-wavelength diode laser (810nm, 980nm) […]
Read More
Composite Veneers Changing Tooth Color and Shapes
Teeth sometimes don’t need crowns. Minimal reduction using artistically layered composite resin can result in a long-lasting, strong restoration that can last for many years. Class IV integration courtesy of […]
Read More
Integration with Esthetic Crowns | Adhesive Dentistry Auckland
This was a GC LiSi MT crown that we completed on tooth 26 with a simple stain and glaze technique using the Initial System. Flexural strength = 500MPa. Kindest, Clarrie […]
Read More
Rebuilding Near Hopeless Teeth | Restorative Dentist Auckland
Reconstruction with minimal ferrule on a near hopeless tooth as a special request for a patient. Post system: Rebilda GT (Voco) Core system: Clearfil DC Core Plus Dentin shade Bonding […]
Read More
Final Dental Impressions | Tam Dental Group Ltd.
Hi Folks, If you’ve ever struggled getting clear and crisp margins on your crown preps, pack down a #00 Ultrapak cord followed by a #1 both soaked in Viscostat Clear […]
Read More
Conservative Dentistry | Lower Teeth Makeover with Composite Resin
Class V bangers to start the week #GC #EssentiaU #HiFlo #LoFlo #U #yesUcan
Read More
Beasty becomes the Beauty | Cavities no More
Had to finish Monday with a Class V banger #GC #EssentiaU #PolisheslikeGlass
Read More
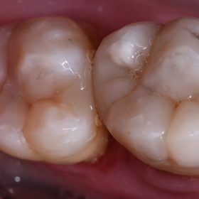
Composite Crowns | Tam Dental Group Ltd. Auckland
The Class II’s are getting bigger – 16MODBP and 17MOP restored using Voco Grandio SO with the Omnimatrix on the 17 and the Garrison Compositight 3D Fusion on the 16 […]
Read More
Super Bulk Fill Technique | Restorative Dentistry Auckland | Tam Dental Group Ltd.
Extremely deep Class II restorations completed utilizing Fuji VIII (the RMGIC dual-cured bulk fill with zero shrinkage stress) bonded with G-Premio Bond and capped with a 2mm layer of G-Aenial […]
Read More