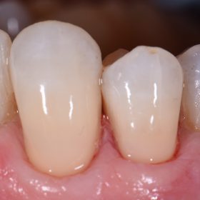
Composite Fillings to Replace Old Amalgam Fillings
Direct using Voco Admira A3 in a layered fashion accentuated using Voco Final Touch Brown tint in the fissure system. Getting ready for implant placement and transitional bonding. Have a […]
Read More
Restoring Ultimate Esthetics with Composite Resin
7 month reassessment using Kerr Harmonize to replace old, poorly contoured restorations status-post trauma on this 10 year old girl.
Read More
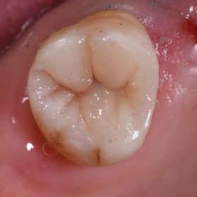
Invisible Dentistry | Large Fillings | Amalgam Removal
Amalgams can cause cracks in teeth and stain the dentin, leading to both a functional and esthetic impairment. This case shows a Large Class II carious lesion restored using the […]
Read More
Making Worn Teeth look new again with resin bonding
Worn teeth are never straight forward to restore. Neck wear (Class V’s) on a tooth with existing porcelain work requires the ability to bond to multiple substrates. Micro air abrasion […]
Read More
Cracked Teeth with Amalgam Fillings Rejuvenated
I love making old, amalgam filled teeth look new again! See what we did here using a new supercomposite material called GC Essentia! #GC #EssentiaU #PremioisPrimo
Read More
Changing Old Fillings with Modern Composite Resin
#Voco #GrandioSO #KeepingItSimple #NoStain #InvisibleDentistry
Read More
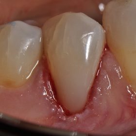
Reversing Cervical Abrasion | Cosmetic Dentist Auckland
Scrubbing hard with your toothbrush can lead to toothbrush abrasion lesions at the neck of teeth. We can easily reverse it with some precisely-sculpted composite resin to make it look […]
Read More
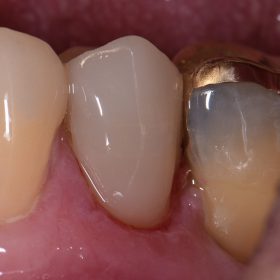
Removing Old Amalgams and Replacement with Beautiful Composite Resin
Removing amalgams and replacement with precision-sculpted composite resin is our bread and butter. Nobody does it like us. Everyday Class II’s with the awesome chameleon itself: Voco Admira Fusion. Single […]
Read More
Yellow, Damaged Teeth Made White Again | Restorative Dentist Auckland
Scrubbing damage to teeth can be easily reversed using resin bonding. This measure acts to protect the residual dentin, which is 6 times softer than enamel and wears 4 times […]
Read More
Broken Teeth Made Beautiful Again | Dentist Auckland
Rolled in this morning and this biting trauma case met me at the doorstep this afternoon. Finishing one tooth at a time, the old amalgam on 25DO was replaced using […]
Read More