Dental Trauma | Composite Artistry | Dentist Auckland
Happy Tuesday, I was able to complete these Class IV bangers for a very lovely 30 year old woman who fractured these teeth in a recent accident. She was concerned […]
Read More
Modification of the Envelope of Function for Increased Restorative Longevity
Happy #Montag, Sometimes when we complete upper anterior restorations, we inadvertently constrict the envelope of function on individuals, and one of a number of sequelae ensue. We may observe hypersensitivity, […]
Read More
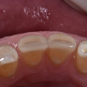
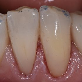
Reversing Cervical Abrasion | Restorative Dentistry Auckland
Rocking some GC Essentia U for my dad’s Class V lesions on 34B and 35B. Retraction cord (#00 Ultrapak by #Ultradent) in conjunction with a buccally-stretched rubber dam was necessary […]
Read More
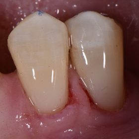
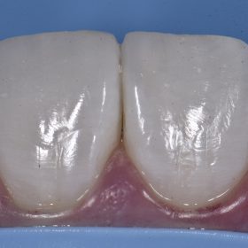
Toothbrushing Trauma Reversal | Dental Artistry Auckland
Hmm, GC Essentia U Class V’s on my mom =) Reversing brushing trauma is my mission du jour. Kindest, Clarrie
Read More
Amalgam Mercury Filling Removal | White Fillings Auckland
Happy Thursday, Had to cancel all my patients today as Morrow Street had a block-wide power surge yesterday that fried “something”. Not in the fuse department, nor the transformer down […]
Read More
Leaking Amalgam Filling Replacements with Composite Resin
Large Class II dealt with effectively using Voco’s original nanohybrid (the world’s original nanohybrid actually = 2003), Grandio Classic. A single shade chameleon effect worked well in this extensive amalgam […]
Read More
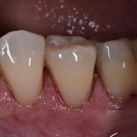
Cavities at the Necks of Teeth | Cervical Caries and Abrasion Lesions
Happy Humpday Folks, This case may not be as dramatic a cervical abrasion case, but with any degree of dentin exposure (dentin is 6 times softer than enamel and wears […]
Read More
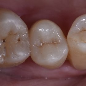
Large Amalgam Replacements | Restorative Dentist Auckland
Top of your Tuesdays, We were able to keep this preparation to a “slot” variety despite the deep recurrent caries against the ML pulpoaxial wall on tooth 15. The Garrison […]
Read More
Replacing Ugly Amalgam Restorations | Composite Sculpting Auckland
#DentsplyCeramXUniversal #ChameleonEffect #SkulptingSkool101
Read More