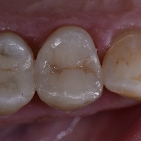
Best Cosmetic Dentist in New Zealand | Filling Replacement | White Fillings | Composite Crowns |Newmarket Dentist Auckland
Every filling we place has a limited lifetime in a patient’s mouth and eventually even pristinely bonded composite fillings suffer marginal breakdown. This case example features a large DOB restoration […]
Read More
White Fillings | Tooth Coloured Fillings | Newmarket Auckland Dentist
White fillings are not all built equal. The success of composite fillings depends on your dentist’s obsessiveness with getting moisture isolation perfect along with a very technique-sensitive bonding procedure. Once […]
Read More
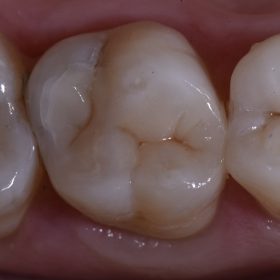
Composite Fillings | Tooth Coloured Fillings | Tam Dental Group | Cosmetic Dentist Auckland
Composite fillings are not invincible, and have a lifetime of 7-10 years. This composite restoration on tooth 15DO suffered from marginal breakdown and sensitivity to the patient’s bite. It was […]
Read More
Amalgam Removal | Mercury Filling Removal | Newmarket | Auckland | New Zealand
Amalgam fillings contain mercury, which is a known neurotoxin. Here at Tam Dental Group, we remove all old amalgam fillings under a strict rubber dam isolation protocol to protect you […]
Read More
Broken tooth | Chipped Tooth | Fractured Tooth | ACC | Dental Emergency | Auckland NZ
We get a lot of referrals for chipped teeth and for unsatisfactory restorations attempted by other practices. Sometimes, the intricate details or esthetic nuances are what makes a filling “disappear” […]
Read More
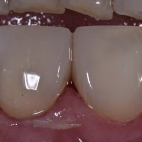
Tooth Fracture Repair | White Fillings | Mercury Free | ACC | Composite Resin
Happy Friday to you all! I had the opportunity to review a patient I treated 5 years ago for traumatic fractures to her 11 and 21 (near-pulp exposures). Happy to […]
Read More
Incisor Hypomineralization Repair | Cosmetic Dentist Auckland
Happy Humpday, This is a 2 week reassessment of a Class IV repair following trauma to tooth 21MIDBL, which was originally restored to eliminate the incisor hypomineralization visual defect. It […]
Read More
Expert Cosmetic Dentistry | Find Best Cosmetic Dentists | Auckland NZ
Freehand Class IVs. #BacktoBack #DisguiseWithHarmonize Clarrie x #ClassyClassIVs #TamDentalGroup #SkulptingSkool102 #AACD #ResponsibleEsthetics
Read More
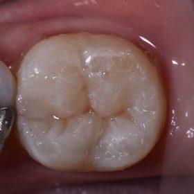
Safe Amalgam Removal | Aesthetic Dentistry Auckland
Hello hello, Large Class II’s can suddently be made bigger by marginal ridge hairline fractures that act as superhighways for bacteria to seed in dentin. The mesial aspect of […]
Read More
Invisalign | Braces | Bleach | Bonding | Minimally Invasive Cosmetic Dentistry | Responsible Esthetics | Straight Smile
Happy Sunday All, This is a case demonstrating how Responsible Esthetics is exercised. With a mild to moderate degree of crowding, an anterior edge-to-edge relationship, Class III tendency and significant […]
Read More