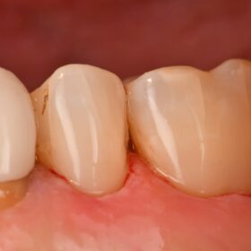
Use of the Garrison Strata-G Sectional Matrix
(Afternoon tea pics 1863.5: Garrison Dental Solutions – North America Strata-G | Voco Grandio SO | GC Ever-X Flow) Matrix Options for Larger interdental spaces You have seen me use […]
Read More
Extreme Class V banger
(Afternoon tea pics 1862.3: Extreme Class V banger | G-aenial A’Chord) Extreme freehand Class V banger for breakfast. #GaenialAchord #GC GC America GC Australasia
Read More
How to Bond to a Porcelain Fused to Metal Crown
(Afternoon tea pics 1861.2: How to bond to an old PFM) This lovely 76 year old female presented with a clinically intact, yet esthetically-unacceptable dark root display of tooth #5B. […]
Read MoreGarrison Varistrip how to use
A very predictable recreation of a previously missing contact point with the use of Garrison’s pre-curved variable height tinted Mylar strip. Restoration finessed using #VocoGrandioSO and #FinalTouch #Varistrip
Read More
Hu-Friedy Black Rubber Dam | Clearfil Majesty ES-2 Premium
For all the latex lovers, there is a new player in the room, Hu-Friedy Latex Black Edition. Some lingual and buccal edge bonding was completed for this lovely patient to […]
Read More
Ovate site development
Missing lateral incisor. Surgical ovate pontic development using the Kois Surgical System. Pontic modification on acrylic partial denture. 12 week healing period before cantilever zirconia Maryland bridge on this lovely […]
Read More
GC G-aenial A’Chord reasons for Class V restorative
Why I like this material for Class V bangers… ^ Low wear resistance due to full silanated technology (each filler particle is individually silanated ^ Excellent cloud-based chameleon effect (A3 […]
Read More
Class I composite replacement
Class I composite replacement due to marginal failure. Restored with the single shade universal composite #ClearfilMajestyES2Universal
Read More
Partial Composite Replacement Restoration
Partial replacement restoration for this lovely patient referral. We were dubious as to whether there would be occlusal space to create an anatomic replacement so were pleasantly surprised. Freehand construction […]
Read MoreClearfil Universal Bond Quick MDP 3 second application
The bond used in this case was Clearfil Universal Bond Quick, a novel MDP-based multimodal adhesive that features an initially very hydrophilic amide monomer that when air thinned and cured […]
Read More