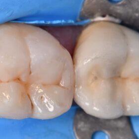
Direct Restorative Saga using Ultradent Transcend UB
(Afternoon tea pics 1853.9: Ultradent Southeast Asia Transcend UB) And the direct saga continues… This tooth #14/2.8 featured severely advanced caries to the level of the mesial pulphorns. A PSZ […]
Read More
Supercomposite placed under absolute isolation
Supercomposites like Voco placed under absolute isolation have an amazing clinical lifespan. #VocoGrandioSO
Read More
Removable Prosthodontics Complete Dentures Auckland
(Afternoon tea pics 1851.1: Removable Prosthodontics) Today has been a fun day dedicated to seeing the results of removable prosthodontics. Often, dentists shy away from these procedures, but it is […]
Read More
Freehand rejuvenation of chipped teeth with Voco Amaris
Freehand anterior sextant rejuvenation with #VocoAmaris
Read More
Simplishade Dark restoration crack removal restoration
Removal of the amalgam and mesial marginal ridge vertical hairline fracture revealed a heavily-stained dentin base. Recontouring of the indirect ceramic restoration mesial to the second molar was required to […]
Read More
Ultradent Transcend Compressive and Flexural Strength
Dabbling with Ultradent’s supercomposite, Transcend. This lovely composite is very sculptable with a compressive strength at 450MPa and a very dentinomimetic flexural strength at 156MPa. #UltradentTranscend
Read More
Overlay workflow using lithium disilicate
(Afternoon tea pics 1847.1: Overlay Workflow) GC Ever-X Flow used for endocore construction Fracture toughness 2.88MPa.m/0.5 #ceramicoverlay #workflow
Read More
Large Class V composite replacements G-aenial A’Chord
Cloud shaded chameleon monochromatic composites are ubiquitous. One of my favorites for small to large volume replacement is G-aenial A’Chord. Flexural strength: 168MPa (Dentin 165.6MPa) Shrinkage stress: 1.34MPa #GaenialAchord #largeClassVreplacement […]
Read More
Difficult access Class 5 restorations restored with Essentia U
Crazy difficult access Class V restoration replacements. #GCEssentiaU
Read More
Molar Hypomineralization restored with Voco Grandio SO
Molar hypomineralization is a condition characterized by patches of high-organic content and impaired mineralization, often leading to greater susceptibility to both functional fractures and secondary caries. This tooth was affected […]
Read More