Clearfil Majesty ES-2 Universal Dark Variant
Excavation and restoration of fragile hypomineralization lesion on this lovely 40 year old lady. Upon removing one side of the lesion the entire affected region of the cusp detached intact. […]
Read More
Send the Blend with Clearfil Majesty LDT technology
// SEND THE BLEND // Esthetic integration demonstration using the Majesty ES-2 LDT chameleon effect. #ES2Universal #SendtheBlend
Read More
Additive composite dentistry
Small Class IV invisible direct resin restoration on #9MIB. Integration seamless. Shades: A2D, A2E, Clear, white tint (Kerr Kolor) #KerrHarmonize #GlosslikeaBoss
Read More
Combination Composite and Ceramic Restorative Case
(Afternoon tea pics 1788.2: Voco Amaris | IPS e-max) Simple 3 tooth combination direct-indirect restorations on teeth #7, 8 and 9 with pre-prosthetic surgical crown lengthening. The latter two were […]
Read More
Large Class II Direct Restoration Grandio SO High Compressive Strength
Case 2 today on a killer of a day. Let’s keep captions skinny. #VocoGrandioSO
Read More
Biomimicry using Voco Grandio SO
(Afternoon tea pics 1786.1: Voco Grandio SO | Ever-X Flow) Starting the morning off with a BOOM. Microlayer/Biobase using Majesty Flow and Ever-X Flow Dentin shade. #VocoGrandioSO VOCO VOCO GmbH […]
Read More
GC G-aenial A’Chord
Class V action today with these last three teeth restored using G-aenial A’Chord. #GCGAenialAchord
Read More
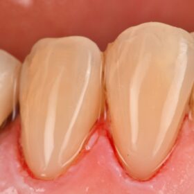
Class 5 root protection with Clearfil Majesty ES-2 Universal
(Afternoon tea pics 1784.2: Clearfil Majesty ES-2 Universal) Class V root protection in an erosion and abrasion-prone mouth using Clearfil Majesty ES-2 Universal for an invisible finish. Substrate optimization completed […]
Read More
Garrison Varistrip used with Voco Grandio SO
Class III action using the OG Supercomposite. Contact point recreated using the Varistrip (pre-curved Mylar strip) from Garrison. #Varistrip #Garrison #Voco
Read More
Direct Restorations on Hypomineralized Teeth
Hypomineralization fissure sealants are not always successful. If there is marginal leakage, often the recurrent decay is able to track aggressively through the tooth, and there is nothing the patient […]
Read More