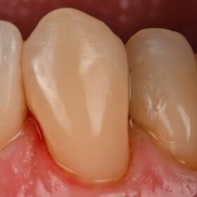
Class IV replacement restoration with Majesty ES-2 Premium
Small Class IV replacement for what the patient described as a monochromatic restoration that was initially done when there was an accident with tooth #26/4.2MIBL. Restorative: Clearfil Majesty ES-2 Premium […]
Read More
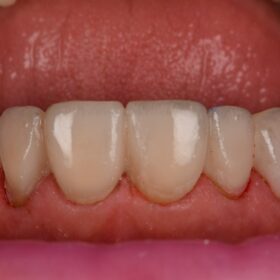
Class II Direct Restoration Replacement with Majesty ES-2
Class II replacement for this first bicuspid – we are choosing to complete the fissure for the M half next week as it never feels or looks as big and […]
Read More
Comparison of in situ esthetics of two composite resin systems
As you can see, the old extensive composite restoration was completed by myself years ago. This patient exhibited caries on the M of this molar, which was accessed via a […]
Read More
Clearfil Majesty ES-2 Universal Dark Variant
Excavation and restoration of fragile hypomineralization lesion on this lovely 40 year old lady. Upon removing one side of the lesion the entire affected region of the cusp detached intact. […]
Read More
Send the Blend with Clearfil Majesty LDT technology
// SEND THE BLEND // Esthetic integration demonstration using the Majesty ES-2 LDT chameleon effect. #ES2Universal #SendtheBlend
Read More
Additive composite dentistry
Small Class IV invisible direct resin restoration on #9MIB. Integration seamless. Shades: A2D, A2E, Clear, white tint (Kerr Kolor) #KerrHarmonize #GlosslikeaBoss
Read More
Combination Composite and Ceramic Restorative Case
(Afternoon tea pics 1788.2: Voco Amaris | IPS e-max) Simple 3 tooth combination direct-indirect restorations on teeth #7, 8 and 9 with pre-prosthetic surgical crown lengthening. The latter two were […]
Read More
Large Class II Direct Restoration Grandio SO High Compressive Strength
Case 2 today on a killer of a day. Let’s keep captions skinny. #VocoGrandioSO
Read More
Biomimicry using Voco Grandio SO
(Afternoon tea pics 1786.1: Voco Grandio SO | Ever-X Flow) Starting the morning off with a BOOM. Microlayer/Biobase using Majesty Flow and Ever-X Flow Dentin shade. #VocoGrandioSO VOCO VOCO GmbH […]
Read More
GC G-aenial A’Chord
Class V action today with these last three teeth restored using G-aenial A’Chord. #GCGAenialAchord
Read More