Non Invasive Resin Infiltration on a 13 year old female
(Afternoon tea pics 1688.2: DMG Icon Full Workflow) FULL Icon infiltration protocol on a 13 year old female moderate to advanced incisor hypomineralization case with pre-and-post infiltration transillumination for reference. […]
Read More
GC Supercomposite Focus
Vitals: Flexural strength 168MPa Shrinkage stress 1.34MPa (GUI for comparison 1.0MPa). Resin matrix component: bis-MEPP with FSC (full silanated coating technology) #AChord #GCGaenial
Read More
Chameleon Composite Functionality
In all honesty the Dark variant of Simplishade should have been utilized in this case as it is a little high in value. The saving grace: *Beveling increases the surface […]
Read More
AP-X ES-2 Universal chameleon effect demonstration
(Afternoon tea pics 1685.5: Clearfil AP-X ES-2 Universal Dark) A combination of Majesty/AP-X Esthetics flow used to establish an early chameleon effect before AP-X ES-2 Universal Dark was used to […]
Read More
Extensive abrasion base restored on tooth 6
A wide extensive abrasion base on this canine restored with #GCEssentiaU with a very acceptable chameleon effect.
Read More
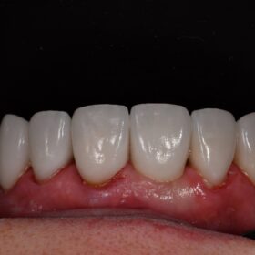
Preparations and Provisionals for an 8 unit porcelain dental makeover
(Afternoon tea pics 1683.5: TempSmart | Optiglaze Color) From Preps to Provisionals utilizing the APT technique by Gurel. *An extensive case of preparations for indirect restorations on teeth 5-12. Provisionals […]
Read More
Class 3 GC G-aenial A’Chord
Class III magic. #Varistrip from #GarrisonDentalSolutions as the restorative matrix. Garrison fin wedge. No “wedging force” to separate really required. #GC G-aenial A’Chord A3 – single shade. Check out that […]
Read More
Partial Additions to Short Lateral Incisors
Visual derotation and length was desired by this lovely 19 year old on her rounded lateral incisors. Full isolation was attempted but was aborted as ligatures would not seat within […]
Read More
DSD Guided Workflow to Provisional Restorations
DSD-guided workflow Smile Designer Pro // 7-10 to Provisionalization Stage *Shade selection using both 3D Master and A-D ingot shade guide Ivoclar under polarized and unpolarized lighting with e-Lab protocol. […]
Read More
Small Occlusal Composite Restorations
Tips for occlusal restorations and the avoidance of white line fever Small occlusal restorations are hard to technically layer, but depending on their position relative to a cusp tip, may […]
Read More