Skip to main content

Cosmetic

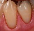
When to use Garrison Strata G and Compositight 3D Fusion

T A K E A W A Y S #KerrSimplishadeMedium is the shade to select for Vita A2. #GarrisonCompositight3DFusion was used here although #GarrisonStrataG would have been a better choice […]

Read More

Orthodontics and Veneers with a Maryland Bridge design

This lovely lady exhibited: Missing upper right lateral incisor, mesialized canine, peg upper left lateral incisor, asymmetrical spaces. Digital Smile Design and pre-prosthetic orthodontic planning and execution was completed to […]

Read More

Replacement Composite Restorations in a trauma case

Re-restorations of traumatized teeth #8 and 9 with intact chromatic core material. Shades: Voco Amaris O1, TL, HT, white tint. #VocoAmaris #CompositeLayering #FreehandEsthetics

Read More

Redesigning a smile with porcelain replacement veneers

Do you notice the differences? Subtleties in porcelain esthetic rehabilitation redefined with this DSD-driven microlayered lithium disilicate solution. #IPSemax #ThankstoTSE

Read More

Erosive Damage Restored using Composite Resin

Erosion can leave “old composite” alone but dissolve everything below it.  This extreme case was on a lower left wisdom tooth and represents one of the last chances to save […]

Read More

Restoring Fractures and restoring confidence with composite layering

(Afternoon tea pics 1493.6: Kuraray Majesty ES-2 Premium) Just casually restoring confidence to this brilliant young 9 year old man after his soccer head-vs-teeth accident. #KurarayMajestyES2Premium

Read More

Class III Supercomposite

Class III on tooth #10 with a supercomposite.  What a rush on a Thursday morning =) #VocoGrandioSO

Read More

Full Crown Workflow

Some teeth really require full coverage for function and esthetics.  I like to be conservative but also have some mechanical resistance form on the teeth whilst preserving as much bulk […]

Read More

Did you know that Dental Amalgam induces crack formation

I really don’t like amalgam restorations.  This was restored with a single shade of #SimplishadeMedium #GarrisonCompositight #AmalgamsCauseCracksPSA

Read More

The Matrix in Matrix technique in dental restorations

// Matrix in Matrix // Garrison Compositight 3D Fusion // Cracks in Teeth Removed #KerrSimplishadeMedium #GarrisonDentalSolutions

Read More
« Previous PageNext Page »