Warning: Undefined array key "post_type" in /var/www/vhosts/clarencetam.co.nz/httpdocs/wp-content/plugins/rmgallery2/core/public/rmg_rewrites.php on line 228
Cosmetic | Tam Dental Group - Part 39
Skip to main content

Cosmetic

Garrison Compositight and Voco Grandio SO

One of my favorite combinations in action. #VocoGrandioSO #GarrisonCompositight3DFusion #biomimeticdentistry #dentistrymimickingnature

Read More

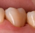
Endodontic Closure layering sequence

Endodontic access closure using the #APC technique on this old zirconia crown. Buccal lobes are layered first before the lingual. #VocoAmaris used for recreating a virtually virgin tooth.

Read More

Gum recontouring with the Ultradent Gemini laser

Gingival recontouring completed on this lovely 20 year old female to better balance #5-12 using the dual-wavelength Superpulsed diode laser from Ultradent #Gemini working at both 810nm and 980nm, the […]

Read More

Making dental cervical abrasion a thing of the past

Class V bangers with a single shade of A3 from GC #GaenialAchord.  A light subsurface orange:brown tint was applied to the E before the final layer in order to impart […]

Read More

Voco Amaris used to close Atlantis Angled Screw Channel

Implant closure following the APC technique by Prof. Markus Blatz. A single shade of #VocoAmaris O2 was used after microlayering the base with a white tint.

Read More

Closing large gaps between teeth with Strata-G

Partial replacement of old composite on the second bicuspid with mesial axial addition to improve the “straight” axial contour, with complete replacement of the restoration on the first bicuspid.  Garrison’s […]

Read More

When to use Garrison Strata G and Compositight 3D Fusion

T A K E A W A Y S #KerrSimplishadeMedium is the shade to select for Vita A2. #GarrisonCompositight3DFusion was used here although #GarrisonStrataG would have been a better choice […]

Read More

Orthodontics and Veneers with a Maryland Bridge design

This lovely lady exhibited: Missing upper right lateral incisor, mesialized canine, peg upper left lateral incisor, asymmetrical spaces. Digital Smile Design and pre-prosthetic orthodontic planning and execution was completed to […]

Read More

Replacement Composite Restorations in a trauma case

Re-restorations of traumatized teeth #8 and 9 with intact chromatic core material. Shades: Voco Amaris O1, TL, HT, white tint. #VocoAmaris #CompositeLayering #FreehandEsthetics

Read More

Redesigning a smile with porcelain replacement veneers

Do you notice the differences? Subtleties in porcelain esthetic rehabilitation redefined with this DSD-driven microlayered lithium disilicate solution. #IPSemax #ThankstoTSE

Read More
« Previous PageNext Page »