Warning: Undefined array key "post_type" in /var/www/vhosts/clarencetam.co.nz/httpdocs/wp-content/plugins/rmgallery2/core/public/rmg_rewrites.php on line 228
2018 | Tam Dental Group - Part 12
Skip to main content

2018

Beasty becomes the Beauty | Cavities no More

Had to finish Monday with a Class V banger #GC #EssentiaU #PolisheslikeGlass

Read More

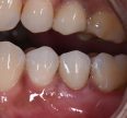
Composite Crowns | Tam Dental Group Ltd. Auckland

The Class II’s are getting bigger – 16MODBP and 17MOP restored using Voco Grandio SO with the Omnimatrix on the 17 and the Garrison Compositight 3D Fusion on the 16 […]

Read More

Super Bulk Fill Technique | Restorative Dentistry Auckland | Tam Dental Group Ltd.

Extremely deep Class II restorations completed utilizing Fuji VIII (the RMGIC dual-cured bulk fill with zero shrinkage stress) bonded with G-Premio Bond and capped with a 2mm layer of G-Aenial […]

Read More

Tam Dental Group Ltd | Back to Back Posterior Resin Composite Fillings | Voco Grandio SO

Morning Hump(ers)Day, Back to back Class II replacements are best tackled one at a time. In the rare situation, if you can perfectly set up a back to back matrix […]

Read More

Large Fillings | Sculpted Composite Resin Artistry | Auckland Dentist

Huge Class II’s. Direct using Voco Grandio SO A2 with marginal ridge reconstruction using the Omnimatrix for tooth 26 and Garrison Compositight 3D Fusion to establish that firm contact. Have […]

Read More

Well blended Composite Resin | Cosmetic Fillings

Hello folks, Replacing old Class V restorations is really fun using a smart material like GC Essentia U. The Hi-Flo and Lo-Flo variant was used here in conjunction with some […]

Read More

Rejuvenating Old Crowns and Blocking Out Dark Tooth Color with Zirconia

Replacing old PFMs and blocking out dark stump shades with a stain and glazed Zenostar monolithic zirconia crown. #Zenostar #Biomimicry #NDS #TamDentalGroup #Ultradent #ExpertempA2

Read More

Replacing Old Fillings with Composite Resin Fillings

Class II replacements with Voco Grandio SO. Even with a dark, stained dentin base, this material has such an innate perfect ratio of translucency:opacity that a dedicated opaquer is very […]

Read More

Reconstructing Heavily-Filled Teeth

Happy Monday, Large Class II’s with an interesting 44M contact area that “conformed” intimately to the 43D axial wall, which was reproduced in a slightly ugly yet functional way. The […]

Read More

Mouth Ulcers | Acute Necrotizing Ulcerative Gingivitis | Laser Treatment

Hi Tea(m), This was an interesting case of (Acute) Necrotizing Ulcerative Gingivitis that I have followed after initial treatment from December, 2017. This 11 year old healthy male presented to […]

Read More
« Previous PageNext Page »