Skip to main content

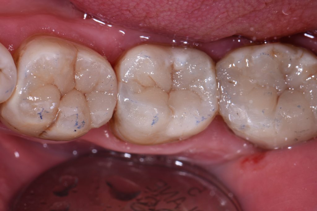
This patient presented with generalised failure of his old composite and amalgam restorations, tooth 47 specifically exhibiting a stained hairline fracture on the OL (distal aspect) with recurrent caries under the amalgam as a result.  A single shade of the A2.5 Venus Pearl shade from Kulzer was applied in conjunction with the Garrison Compositight 3D Fusion system to restore this quadrant with a naturomimetic focus.  iBond Universal was used as the bonding agent with a selective etching approach (this is predictable as it contains 10-MDP, the acidic monomer with calcium salt layering resulting in a near-invincible hybrid layer)

Kindest,

Clarrie

#Kulzer #VenusPearl #iBondUniversal #MDP #10_MDP #GarrisonCompositight3DFusion #SanctuaryDams