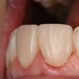
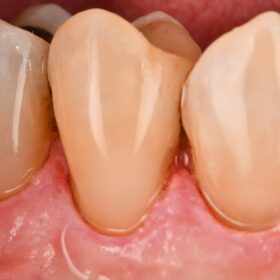
DSD guided pink and white esthetics with composite veneers
(Afternoon tea pics 2256.9: Ultradent Products, Inc. Gemini and Ultradent Products, Inc. Forma) Concurrent Digital Smile Design-guided gingivectomies on #7 and 10 along with stratified composite veneers on the same […]
Read More
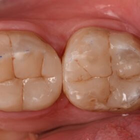
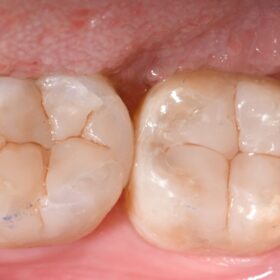
Garrison Quad Matrix in action
(Afternoon tea pics 2255.1: Garrison Dental Solutions – North America Quad Matrix | Majesty ES-2 Universal U) Bread and butter Class II partial replacement as part of a stablization phase […]
Read More
Rhondium DME wedge for margin regularization
Often if your proximal gingival cavosurface margin is irregular and you wish to preserve every bit of healthy tooth structure in this region, the sectional matrix does not always adapt […]
Read More
Ultradent Forma Composite Class IV restoration
A freehand stratified Class IV blunt trauma repair was completed for this lovely 15 year old female. Shades used: A1D, WE, Trans, white tint. #UltradentForma #bluntdentaltrauma
Read More
Peripheral Rim Fracture Considerations in Cavity Design
It’s always difficult to decide which vertical hairline fractures to chase in a compromised peripheral enamel rim. Chasing and selectively removing the significant hairline fractures with penetration past the DEJ […]
Read More
Insidious caries under an old fissure sealant
Caries noted in the 2nd shot was subsequently removed, but just goes to show how “sealants” that don’t seal are really dangerous re: insidious caries progression. #KerrSimplishade #SneakyCaries
Read More
Complex Composite Resin with Pulp Exposure Management
A long-term complex transitional direct restoration was completed on these molars prior to planned orthodontics to remove cracks and stabilize the tooth structure with full coverage indirect planned for immediately […]
Read More
Simplishade Bulk Fill Flowable with Simplishade Universal
Class I direct raw. Skulpting completed using the TNTAMKIT from @hufriedy Restorative: Kerr Simplishade paired with Simplishade Bulk Fill Flowable makes for an efficient esthetic solution for all posterior direct […]
Read More
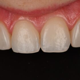
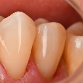
Voco Amaris Composite Veneers
This lovely patient declined pre-prosthetic orthodontics and only wanted to complete composite veneers on #8 and 9 for a more confluent anterior archform. Substrate Optimization #Aquacare Restorative #VocoAmaris
Read More
Hypomineralized incisor reconstructed with a fixed retainer in place
Just your average Class IV hypomineralization fracture repair with a fixed lingual retainer in place. Axial contour made efficient using the Garrison Dead Soft matrix band oriented vertically. Supercomposite layering […]
Read More