Skip to main content

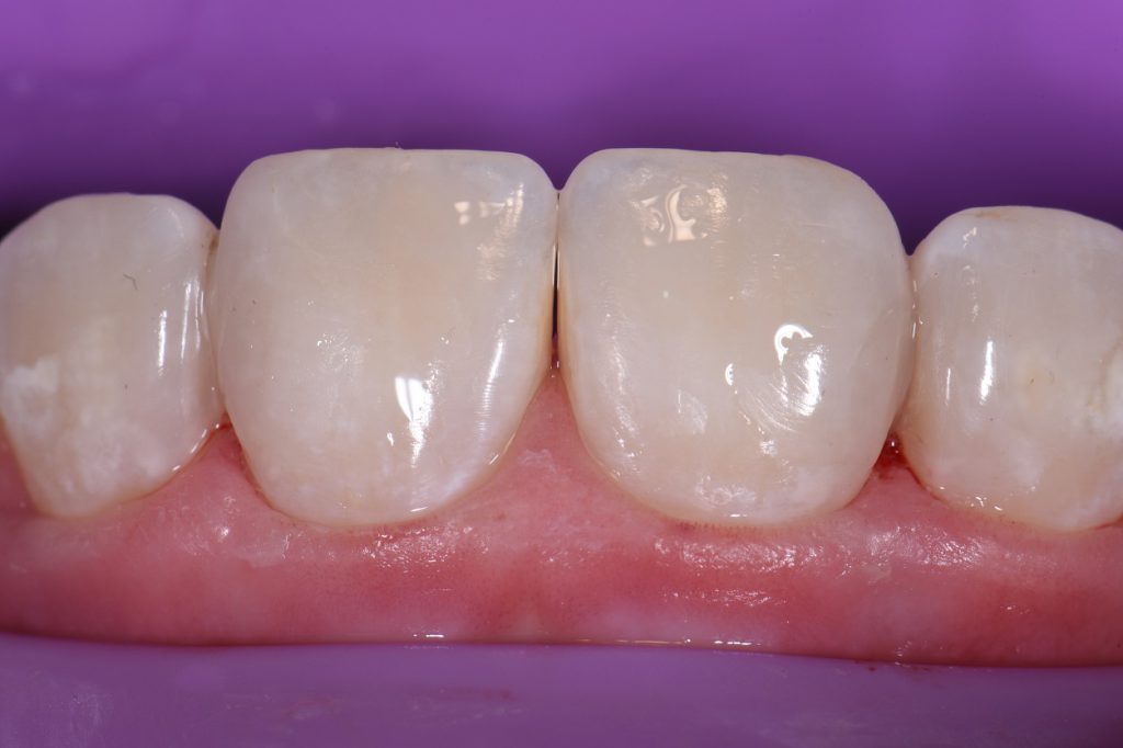
Back to back large Class III lesions on 12MB, 11DB, 21DB, 22MB.

Restorative material: Kerr Harmonize shades A2E, A2D, Kerr Kolor white tint

Bonding system: Total-etch with Kerr Optibond Solo Plus

Have a spectacular weekend.

Clarrie

#Kerr #Harmonize #Glosslikeaboss