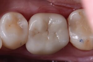
August 31, 2020 Dark stump shades are no match for this IPS e -max LT ingot, although I feel it could have slightly greater depth of translucency for increased realism. Fissure forms stunning as per #TSE. #maskingdarkstumpshades #emaxLT Previous Post Next Post