Deep margin elevation with Garrison Firm Bands
Hi Tea(m), This tooth featured an old restoration with marginal leakage. After excavation, caries was noted tracking apicoproximally on the mesial aspect cervical to the level of the old restoration. […]
Read More
Partial reconstruction of a complex composite restoration
Old restoration on the DO of this second bicuspid suffered a vertical and occlusal shear fracture of this lady’s complex composite restoration. We completed partial replacement of the restoration with […]
Read More
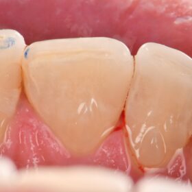
Class V abrasion lesions restored with A’Chord
Hot little Class V action on this blistering summer day. Compressive strength: 389MPa Flexural strength: 168MPa #ClassVbangers #GCGaenialAChord
Read More
Resin Infiltration Tips
(Afternoon tea pics 1960.3: DMG Icon Resin Infiltration | Clearfil Majesty Flow) N.B. The post-infiltrated surface was sealed with a thin layer of Clearfil Majesty Flow. It is always recommended […]
Read More
Matrix in Matrix to create free end axial contours
Matrix in Matrix used on the mesial of this first bicuspid, paired with the use of a conventional Garrison Compositight on the distal. As this required a greater curvature, the […]
Read More
Can I Get Rid of Tetracycline Stains?
Tetracycline, an antibiotic commonly prescribed in the past to fight infections, is a medication known to leave deep staining on the teeth — particularly in younger patients and children. Although […]
Read More
Bonding to Old Resin Protocol
BONDING TO RESIN Worn restoration on #31/4.7 requiring augmentation. Keys: ^Bevelled margins ^Total Etch ^ Silane Coupling Agent ^Bond ^Microlayers before definitive packable composite #BondingtoResin
Read More
Class V action with Flo X and A’Chord
Class V action to kick things off using a single shade of GC G-aenial A’Chord after microlayering with G-aenial Flo X. #GCGaenial #Class5Bangers
Read More
Class III contour with Garrison Varistrip
#Simplishade Dark #ChameleonEffect #GarrisonVaristrip
Read More
Voco Amaris to restore an invisible Class IV fracture
Hypocalcified teeth have a whole constellation of detail that is challenging to reproduce. Certainly not perfect here, but much closer to the virgin #8. Have a blessed Thanksgiving and a […]
Read More