Warning: Undefined array key "post_type" in /var/www/vhosts/clarencetam.co.nz/httpdocs/wp-content/plugins/rmgallery2/core/public/rmg_rewrites.php on line 228
Dental Treatment News Blog Auckland NZ - Part 192
Skip to main content

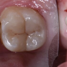
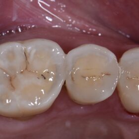
Rebuilding the bite from lost fillings

Slowly restoring this lady’s 4th quadrant using a planned combination of direct and indirect techniques.  We worked on the first premolar first, established a stable occlusion on the right side […]

Read More

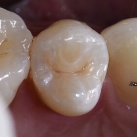
Minimally Invasive Dentistry

#MinimallyInvasiveDentistry on hypomineralized #30 (4.6) restored with a single shade of A2 Grandio SO.  Fissure sealant restored with A2 Majesty Esthetic flowable. #Voco #GrandioSO #Kuraray #MajestyEstheticflowable

Read More
« Previous PageNext Page »